
症例5 51-55歳 男性、貧血と血小板減少を主訴に来院する。 解説と解答
下記の染色より考えられる疾患はどれですか。
![]() |
![]() |
|
|---|---|---|
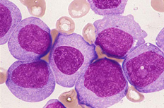
| MG染色 [BM.×1000] |
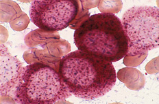
ペルオキシダーゼ染色 [BM.×1000] |
|
![]() |
![]() |
|
| ブチレートエステラーゼ染色 [BM.×1000] |
NaF阻害試験 [BM.×1000] |
|
| 選択 | |
| 1 | 急性骨髄性白血病(M0) |
|---|---|
| 2 | 急性リンパ性白血病 |
| 3 | 急性単球性白血病(M5a) |
| 4 | 急性単球性白血病(M5b) |
| 5 | 急性巨核球性白血病 |
【ねらいと解説】
細胞形態の特徴と細胞化学染色の基本的な判定法になります。
MG染色所見:大型細胞で、N-C比は低く、核は円形〜類円形で、クロマチンは粗網状、明瞭な(大きくて、くっきりした)核小体がみられ、細胞質は好塩基性で顆粒は認めないようです。
それらは単一がうかがえるため芽球の優位を考え、形態学的特徴から単芽球や未分化骨髄芽球を推測しますが広義では、巨核芽球やリンパ芽球も対象にします。
特殊染色所見:優位の芽球はペルオキシダーゼ(PO)染色に陰性より、最未分化芽球(M0)や単芽球(M5a)、また巨核芽球(M7)やリンパ芽球(ALL)も鑑別細胞になります。
次に非特異的エステラーゼ(EST)染色ではブチレートEST染色に強陽性とNaFにて阻害(陽性反応の消色)により単芽球に絞られるようです。
NaF阻害については散在性に陽性物質が残っているため、完全に阻害されていないようですが、陽性反応に対して明らかに阻害されていることに相違ないので不完全阻害として捉えることになるでしょう。
【解答】
3.急性単球性(単芽球性)白血病(M5a)
MG染色で特徴的な単球系の要素がみられますが、広い範囲から絞ることが必要ですので、
該当する細胞はすべて当てはめて考え、消去法の作戦を立てることになるでしょう。




