
症例6 小児例. 貧血と血小板減少、白血球増加を主訴に来院する。 解説と解答
骨髄所見(芽球25%,顆粒球系27%, 単球系40%)より考えられる疾患はどれですか。
![]() |
![]() |
|
|---|---|---|
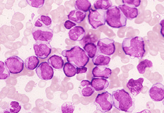
| [BM-MG.×400] |
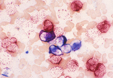
[BM-PO.×1000] |
|
![]() |
||
| [BM-EST.×400] |
||
| 選択病型 | |
| 1 | 急性骨髄性白血病 (M2) |
|---|---|
| 2 | 急性骨髄単球性白血病 (M4) |
| 3 | 急性単芽球性白血病 (M5a) |
| 4 | 急性単球性白血病 (M5b) |
【ねらいと解説】
分化傾向を伴う白血病と細胞化学染色の基本的な判定法についてです。
[骨髄のMG染色所見]
核不整の細胞が目立ち、若干ですが好中球までの分化がうかがえます。
骨髄像の分類では芽球が20%以上(実際は25%)、顆粒球系が20%以上(実際は27%)、単球系が20%以上(実際は40%)より、WHO分類の基準を満たすもので急性骨髄単球性白血病が考えられます。末梢血の単球数も5,000/μl以上(実際は15,204/μl)と増加しており、急性型を示唆するものでありました。
[特殊染色所見]
優位の芽球と顆粒球系はペルオキシダーゼ(PO)染色に陽性で、単球系は陰性から弱陽性より、顆粒球系と単球系の混在がうかがえそうです。
これらの分化段階については、EST二重染色でも顆粒球系と単球系の陽性像がみられることより上記診断を強く支持しているようです。
【解答】
A急性骨髄単球性白血病(M4)



