
症例7 小児例.
WBC 8600/μl (芽球12%)、骨髄の芽球84%から考えられる疾患はどれですか。解説と解答
![]() |
![]() |
|
|---|---|---|
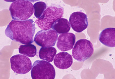
| [BM-MG.×1000] |
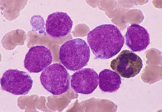
[BM-PO.×1000] |
|
![]() |
||
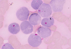
| [BM-PAS.×1000] |
||
| 選択病型 | |
| 1 | 急性骨髄性白血病(AML-M0) |
|---|---|
| 2 | 急性骨髄性白血病(AML-M1) |
| 3 | 急性単球性白血病(AML-M5a) |
| 4 | 急性リンパ性白血病(ALL) |
【ねらいと解説】
ペルオキシダーゼ(PO)陰性白血病における細胞化学染色の有効利用です。
[骨髄のMG染色所見]
増加する芽球は小型で、N-C比が高く、一部に核形不整がみられ、核小体はそれほど明瞭ではなく、クロマチンは粗荒のようです。それらは、PO染色に陰性よりPO陰性白血病を考えます。形態学的にはリンパ系の要素を加味備えておりますが、PO陰性AML(M0、M5a、M7)を除外することになります。PO陰性AMLでは、M0以外は形態学的所見で診断が可能になりますが、M5aはα-NBエステラーゼ染色陽性(NaF阻害の確認)、M7は酸ホスファターゼ染色が限局性に強陽性そして血小板マーカー(CD41、42、61など)の証明が有力な武器にもなります。M0は骨髄系のマーカー(CD13、33、anti-MPO)や電顕MPOを証明することになります。
本例は、形態学的所見にPAS染色の点状陽性が急性リンパ性白血病(ALL)を強く支持するものになります。しかし、PAS陰性例や芽球の起源を掴むには、リンパ系のマーカー(CD19、10、79aなど)を証明します。小児ALLでは、発症年齢が4〜7歳、白血球正常、L1タイプ(FAB分類)、PAS陽性例、CD10陽性例は予後良好群とされるようです。
【解答】
C急性リンパ性白血病(ALL)



