
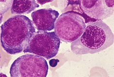
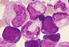
症例11 大球性正色素性貧血(MCV:126fl)の骨髄像です。
染色体異常は認めませんでした。次の問いに答えて下さい。 解説と解答
![]() |
|---|
![]() |
Q1.骨髄像の形態所見からあてはまるものを選んで下さい。
|
Q2.今起こっている原因についてあてはまるものを選んで下さい。
|
Q3.診断に必要な検査はありますか。
|
Q4.考えられる疾患はどれですか。
|
【ねらいと解説】
大球性正色素性貧血(MCV:126fl)であり、染色体異常がないとの所見がありました。
大球性貧血は通常MCVが100flを超えるものとされますが、本例のように120flを超すことは稀なことで、その多くは巨赤芽球性貧血多く、骨髄異形成症候群(MDS)にもみられることがあるようです。
【末梢血液像の所見】
大球性正色素性貧血(MCV:126fl)の血液像は、赤血球の形態異常として大型赤血球(macrocyte)やそれに伴う大小不同が、白血球の形態異常として好中球の過分葉(hypersegmentation)がみられました。
【骨髄像の所見】
過形成像の骨髄は、赤芽球がやや優位で、成熟段階がみられますが、巨赤芽球様変化がうかがえます。この変化を掴むには、成熟型の方が形態的にわかりやすく、核DNA合成障害によって起こる核と細胞質成熟乖離(細胞質は正常の成熟過程を示すが核の成熟が遅れる)の現象です。その現象は顆粒球系にもみられ、特に成熟型の後骨髄球や桿状核球に巨大化が、分葉核球には過分葉がみられます。
この現象やこれらの所見は、上記のMDSにもみられますので、それを否定する意味から大球性貧血の原因の1つとしてビタミンB12や葉酸を生化学的に検索し、どちらかの低値が判明すればMDSは否定され、巨赤芽球性貧血を最も診断することになります。また、MDSに比べると、本症のMCVは120flを超すことが多く、巨赤芽球は核の発育不全のためかどうか不明ですが、細胞質がやや豊富な形態をとることが多いようです。用語的には、ビタミンB12か葉酸の原因が判明すれば、巨赤芽球性変化とよんだ方が正しいかも知れません。
【解答】
Q1. 2, 4
Q2. 4
Q3. 2
Q4. 3
【正解率】
Q1. 20%
Q2. 80%
Q3. 100%
Q4. 100%


