
症例13 骨髄像にて単球系が20%以下でした。
芽球の情報を加味しながら、考えられる病型はどれでしょうか。 解説と解答
![]() |
![]() |
![]() |
||
|---|---|---|---|---|
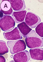
| [芽球 80% (TypeT)] |
[芽球 93% (TypeT+U)] |
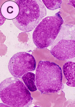
[芽球 56% (TypeT+U)] |
||
| 選択病型 | |
| 1 | AML-M0 |
|---|---|
| 2 | AML-M1 |
| 3 | AML-M2 |
| 4 | AML-M3 |
| 5 | AML-M4 |
【ねらいと解説】
急性骨髄性白血病(AML)の病型を提示しました。
骨髄で単球が20%以下との表示がありますので、単球系が絡むAML(M4,M5a.b)は否定される
と思われます。ここで表示している芽球のTypeT、UはFAB分類(1985)に準じたものでT芽球はアズール顆粒やアウエル小体を全く有しないもの、U芽球は少々のアズール顆粒を有しアウエル小体を有するものとされます。これらの芽球は改訂WHO分類(2008)では顆粒を有しない芽球
(agranularblast)と顆粒を有する芽球(granularblast)に分けられているようです。
A.は芽球の量的異常よりも質的異常が優先されます。すなわち、アズール顆粒やアウエル小体
を有しないT芽球が主体であることで、微分化型急性骨髄性白血病(AML-M0)に分類されます。
このタイプはAMLでありながら光顕的MPO染色が陰性ですので、表現型(CD13,33,anti-MPO
の陽性)か電子顕微鏡下でMPOを証明することが確定診断になります。
B.は芽球の量的異常が優先されます。すなわち、TとU芽球の混在したものが90%以上(実際
は93%)を占めることで未分化型急性骨髄性白血病(AML-M1)に分類されます。
C.は芽球の量的異常が優先されます。すなわち、TとUの芽球の混在したものが20%以上90%以下実際は56%)であることで分化型急性骨髄性白血病(AML-M2)に分類されます。
この病型は分化傾向が強くなり、芽球と前骨髄球との鑑別が要求されます。
【解答】
A:1. AML-M0
B:2. AML-M1
C:3. AML-M2
【正解率】
A: 70%
B: 70%
C: 70%



