
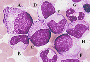
Q8. 骨髄像の細胞同定を行って下さい。 解答と解説
![]() |
|---|
| 選択 | |
| 1 | 前骨髄球 |
|---|---|
| 2 | 骨髄球 |
| 3 | 後骨髄球 |
| 4 | 桿状核球 |
| 5 | 分葉核球 |
| 6 | リンパ球 |
【ねらいと解説】
顆粒球系細胞の分化段階を理解するために提示したものです。Diggs(1956)の血球分化・成熟に関する理論に従いますと、巨核球系以外の二系統は以下の分化様式をとりながら成熟するようです。
1)細胞の大きさは成熟するにつれて小さくなる。2)核形は円形・類円形から固有の形状になる。
3)核クロマチン構造は繊細から粗へ移行する。4)核小体は明瞭から不明瞭へそして消失する。
5)細胞質は好塩基性から固有の色調へ変化する。6)顆粒は非特異性のものから特殊なものに変化する。上記の分化様式を基本に、核および細胞質の所見を注意深く観察をしますが、細胞の大きさ、核の形状、核クロマチン構造、細胞質の顆粒などの変化をねらいにして同定します。
【同定のポイント】
@ 細胞は大型から小型へ、前骨髄球(16〜23μm)、骨髄球(12〜20μm)、後骨髄球(12〜18μm)、桿状核球(10〜18μm)、分葉核球(10〜15μm)
A核は類円形(前骨髄球)から円形(骨髄球)、両側、片側陥没度1μmまで(後骨髄球)、陥没が1μm以上と棒状の形状(桿状核球)、分葉が核の最小幅が最大幅の1/3以上(分葉核球)
B核のクロマチン網工は幼若型は繊細、成熟型は粗荒(結節状)へ移行する.骨髄芽球(繊細緻密)、前骨髄球(やや繊細)、骨髄球(やや粗荒)、後骨髄球(粗荒)、桿状核球(粗荒、弱い結節状)、分葉核球(粗荒、強度の結節状)
C顆粒は、前骨髄球で一次顆粒(アズール顆粒、非特異的顆粒)、ゴルジ野の発達も認める。骨髄球より二次顆粒(特異的顆粒)へ移行する。
【解答】
A・F:1.前骨髄球、B:4.桿状核球、C:2.骨髄球、D:6.リンパ球、E・H:3.後骨髄球、G:5.分葉核球
【正解率】
A:60% B:100% C:90% D:80%
E:100% F:10% G:90% H:90%
形態マガジンTOPへ戻る
「症例8 解答と解説 」 を見る→

