
Q17. 骨髄像ですが、細胞同定を 行って下さい。 解答と解説
![]() |
![]() |
|
|---|---|---|
![]() |
||
| 選択細胞 | |
| 1 | 骨髄芽球 |
|---|---|
| 2 | 前骨髄球 |
| 3 | 単芽球 |
| 4 | 前単球 |
| 5 | 骨髄球 |
【ねらいと解説】
今回は顆粒球系と単球系の幼若型を提示しました。
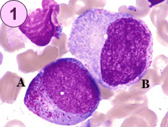
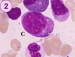
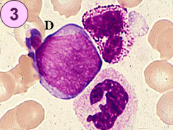
A,B,Dが顆粒球系で、Cが単球系になります。DはN/C比が高く、クロマチンが繊細で核小体を有し、アズール顆粒を持たなことで骨髄芽球になります。それに比べ、AとBはN/C比が低く、核は偏在し、クロマチンは粗顆粒状で分化傾向の前骨髄球と思われます。核の偏在はゴルジ野(白く抜けた部分)の発達のためで、Aはアズール(一次、非特異的)顆粒が多いようですが、Bは一部(3時方向)に片寄り全般には少ないようです。顆粒は二次的に変化(多かったり、少なかったり)しやすいので、このような場合はまずは核所見を優先にして同定することになります。次にCについてですが核偏在についてはAとよく似ています。しかし、Aに比べるとクロマチンは粗網状であり、核小体が多くみられ、細胞質には細かな顆粒がみられます。上記の所見に加えて多くの場合は核形不整が特徴的になりますので前単球と同定されるはずです。正常の骨髄像にもわずかですがみられますので、前骨髄球との鑑別が必要になります。
【正解】
A-2. 前骨髄球
B-2. 前骨髄球
C-4. 前単球
D-1. 骨髄芽球
【正解率】
A. 100%
B. 20%
C. 60%
D. 80%
形態マガジンTOPへ戻る
「症例17 解答と解説 」 を見る→



