
赤芽球系細胞の分化成熟段階を並び替えますと以下のようになります。
そして分裂能を有するのは前赤芽球から多染性赤芽球までです。
![]() |
![]() |
![]() |
||
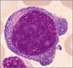
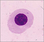
| 前赤芽球 proerythroblast |
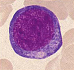
好塩基性赤芽球 basophilic erythroblast |
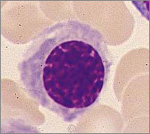
多染性赤芽球 polychromatic erythroblast |
||
![]() |
![]() |
![]() |
||
| 赤血球 erythrocyte |
網赤血球 reticulocyte |
正染性赤芽球 orthochromatic erythroblast |






