
1.正常型 2.細胞質の狭小化 3.巨赤芽球様 4.細胞質の不染部
![]() |
![]() |
| 1.正染性赤芽球 2.好塩基性赤芽球 3.多染性赤芽球 4.好塩基性赤芽球(多染性へ移行) |
Hb合成障害に伴い細胞質に狭小化が起こる。 鉄欠乏性貧血によくみられるパターンである。 |
![]() |
![]() |
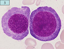
| 多染性(左)、好塩基性(右)巨赤芽球であるが、好塩基性はもともと核網が繊細のため捉えにくい。 一方、多染性は核網が繊細しずぎて捉えやすい。 |
Hb合成障害に伴い細胞質に染色性の悪さが起こる。 鉄芽球性貧血によくみられるパターンである。 |




