
Q5. 末梢血の細胞同定を行って下さい。 解答と解説
![]() |
![]() |
![]() |
![]() |
|||
|---|---|---|---|---|---|---|
![]() |
![]() |
![]() |
![]() |
|||
| 選択細胞 | |
| A | 異常リンパ球 |
|---|---|
| B | 異型リンパ球 |
| C | リンパ球 |
| D | 単球 |
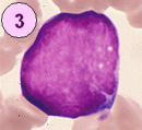
【ねらいと解説】
異型リンパ球と異常リンパ球の鑑別です。
リンパ球の分類は、@リンパ球(大・中・小型)、A異型リンパ球、B異常リンパ球に分けられます。
Bについては、日本検査血液学会標準化委員会では「分類不能細胞」として捉え形態所見を記述することを提案しています(2003)。
リンパ球では特に反応性と腫瘍性の形態変化を掴むことが重要になります。
私見ですが、反応性変化は正常型に比べると“異常にみえる”という非腫瘍性の細胞構造を呈するものであるのに対して、腫瘍性変化は正常、反応性の形態変化を卓越した“まさしく異常”の細胞構造を呈するものと考えます。そして、前者は多彩に出現し、後者は単一に出現します。
反応性変化には異型リンパ球が、腫瘍性変化には異常リンパ球が相当することになり、
それらの鑑別として異型リンパ球はリンパ球を、異常リンパ球はリンパ球や異型リンパ球を対象細胞として観察します。
異型リンパ球は、@大型(16μm以上)、AN-C比低、B核網粗荒、C強好塩基性が特徴で、
異常リンパ球は、@N-C比高、A顕著な核形不整、B明瞭な核小体、C核網は粗網〜粗荒、
D奇妙な突起、E空胞(脂肪)などが特徴のようです。
【解答】
@A.異常リンパ球(マントル細胞リンパ腫)
AB.異型リンパ球
BA.異常リンパ球(リンパ芽球型リンパ腫)
CB.異型リンパ球
DA.異常リンパ球(バーキット リンパ腫:空胞は中性脂質)
EB.異型リンパ球
FA.異常リンパ球(リンパ芽球型リンパ腫)
GB.異型リンパ球
【正解率】
@ 100%
A 80%
B 100%
C 80%
D 100%
E 100%
F 100%
G 100%
形態マガジンTOPへ戻る
「症例5 解答と解説 」 を見る→








