
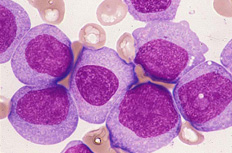
症例5 51-55歳 男性、貧血と血小板減少を主訴に来院する。
下記の染色より考えられる疾患はどれですか。
![]() |
![]() |
|
|---|---|---|
| MG染色 [BM.×1000] |
ペルオキシダーゼ染色 [BM.×1000] |
|
![]() |
![]() |
|
| ブチレートエステラーゼ染色 [BM.×1000] |
NaF阻害試験 [BM.×1000] |
|
| こちらからお選び下さい。 | |
| 1 | 急性骨髄性白血病(M0) |
|---|---|
| 2 | 急性リンパ性白血病 |
| 3 | 急性単球性白血病(M5a) |
| 4 | 急性単球性白血病(M5b) |
| 5 | 急性巨核球性白血病 |




