
症例15 10歳代.男児。
白血球12,000/μlの血液像と骨髄像から考えられる病態は何ですか。
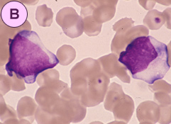
優位の細胞はPO染色に陰性です。
![]() |
![]() |
|
|---|---|---|
| [PB-MG.x400] |
[PB-MG.x1000] |
|
![]() |
||
| [BM-MG.x400] |
||
| こちらからお選び下さい。 | |
| 1 | 急性リンパ性白血病 |
|---|---|
| 2 | 百日咳感染症 |
| 3 | 成人T細胞白血病 |
| 4 | 伝染性単核球症 |
| 5 | 慢性骨髄単球性白血病 |



