
症例18. 60歳代.男性例です。
必要な検査所見(A,B)と形態診断を行って下さい。
RBC 338万/μl, Hb 9.1g/dl, Ht 28.3%, PLT 26.4万/μl, WBC 56,000/μl (Blast 1%,Promy 4%,
My 6%, Met 2%, St-Seg 70%, Ba 2, Eo1%, Ly 10%, Mo 4%),
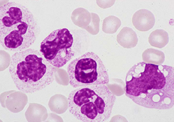
BM-ANC 124万/μl (M/E 8.1,Blast2%, Myeloid; dysplasia)
![]() |
![]() |
|
|---|---|---|
| [PB-MG.×1000] |
[PB-MG.×400 ] |
|
![]() |
![]() |
|
| [BM-MG.×1000] |
[BM-MG.×1000 ] |
|
【解答の選択】
| A:特殊染色所見 | |
| 1 | NAP染色が正常であること。 |
|---|---|
| 2 | NAP染色が低値であること。 |
| 3 | NAP染色が高値であること。 |
| B:染色体・遺伝子検査所見 | |
| 1 | t(9;22)/BCR-ABL1を認めること。 |
|---|---|
| 2 | t(9;22)/BCR-ABL1を認めないこと。 |
| 3 | t(15;17)/RARAを認めること。 |
| 形態診断 | |
| 1 | 慢性骨髄単球性白血病 |
|---|---|
| 2 | 慢性骨髄性白血病 |
| 3 | 非定型慢性骨髄性白血病 |




