HOME > 血液検査コーナー > 検査技師のためのマンスリー形態マガジン > Q1

検査技師のためのマンスリー形態マガジン

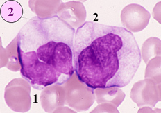
Q1. 末梢血の細胞同定を行って下さい。(2008.12 発信)

 
拡大して見る 拡大して見る
 
 
拡大して見る 拡大して見る
 
こちらからお選び下さい。
A リンパ球
B 単球
C 異型リンパ球
D 骨髄球

解 答・解 説

 

形態マガジンTOPへ戻る
「症例2」 を見る→



 

ページトップ