
【原 理】
                酸フォスファターゼacid phosphatase染色は、アルカリフォスファターゼ(ALP)とは別個の非特異的phosphomonoesteraseで、酸性域(最適pH5.2)において、O−リン酸モノエステルを加水分解する反応を触媒する。本酸素は、Mn2+で活性化され、アルコール、KCN、NaFなどにより不活化される。ACPは細胞質のライソソームに含まれる代表的な加水分解酵素である。
【臨床的意義】
                Acp染色は、単球、形質細胞、骨髄巨核球、細網細胞など全般に染まる傾向にあるため、特徴的な陽性像については熟知しておく必要がある。例えば、凝集状の限局性を呈するものは単球系と巨核球系、点状(塊状)の限局性はTリンパ球に特徴的で、各々の腫瘍性細胞については鑑別診断ともなりうる。
                また、HCLでは散在性に染まり、それはB細胞性特有の陽性態度であり、酒石酸抵抗試験にて一般的には抵抗を示すといわれている。
【ワンポイント】
- 塗抹後、固定までは1時間位がよい。
 - 固定時間が長すぎると細胞形態が不鮮明となるので、温度も含め厳格にする。
 - 固定後、染色までは2時間以内がよい。
 - 後染色にGill's hematoxylin液を使用するときは2分位で十分である。
 
■Acp染色(柴田改良法)
【陽性顆粒:濃赤色】
【酸フォスファターゼ染色判定法】
                〈従来法〉
| 0型 | 陽性顆粒なし | 
|---|---|
| I型 | 小さな顆粒1〜5個、中等度大の顆粒1〜2個 | 
| II型 | 小さな顆粒1〜2個、中等度大の顆粒3〜8個 | 
| III型 | 小さな顆粒3〜8個、中等度大の顆粒9〜16個 | 
| IV型 | 小さな顆粒9〜16個、中等度大の顆粒17〜32個 | 
| V型 | W型以上のもの | 
〈著者らの方法〉
| 陰性 | |
|---|---|
| 弱陽性 | びまん性 限局性  | 
                
| 強陽性 | びまん性 限局性  | 
                
A.Acp染色のリンパ球系細胞における診断的ポイント

                図1 リンパ節 Acp染色 
[NHL(びまん性、リンパ芽球型、T cell type)の症例]
                リンパ節に増殖する核・細胞質比高の腫瘍細胞はすべてが点状の限局性を示し、いかにもT-リンパ球系の陽性態度として捉えることができる. 
B.Acp染色の骨髄系細胞における診断的ポイント

                図2 骨髄 Acp染色 
[AML(MO)の症例]
                本例はMPO染色陰性、表面マーカーにてCD13、CD33、CD7が陽性よりMOと診断された症例である.経験上、Acp染色にて顆粒状の強陽性像を呈することが多く診断的ポイントになるかもしれない.

                図3 末梢血 Acp染色
[AML(M5a)の症例]
                豊富な細胞質を有する単芽球は、ゴルジ野相当域に大きな凝集状集塊の強陽性所見を呈する.

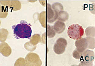
                図4 末梢血 (左)MG染色(右)Acp染色
[AML(M7)の症例]
                末梢血に出現した小型の骨髄巨核球と思われるが、Acp染色にて顆粒状の強い限局性陽性がみられる.他の芽球群との鑑別にも有効となることが多い. 
C.Acp染色のその他における診断的ポイント
![図5 骨髄 Acp染色[ゴーシェ病の症例]](../../images/hematology/morphology/acp_05.jpg)
                図5 骨髄 Acp染色
 [ゴーシェ病の症例]
                骨髄にglucosyl ceramideの結晶を含み、MG染色ではほとんど色素をとらないので、猫が爪でひっかいたあとを思わせるゴーシェ細胞の増加が特徴である.本細胞は酸フォスファターゼを豊富に含み、スライドのごとく強陽性を呈する.
形態学からせまる血液疾患 阿南建一ら (株)岡山メディック、(株)近代出版 1999年
