
難易度3.
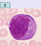
2.4.6.8: 異型リンパ球 3.5.7: 異常(病的)リンパ球 1: 骨髄芽球
![]() |
![]() |
![]() |
![]() |
![]() |
![]() |
![]() |
![]() |
Point
- 【異型リンパ球】(異常リンパ球に対して)
- @N/C比が低い A核形不整はゆるやか B核網は粗鋼(荒) C好塩基性が強い Dアズール顆粒は稀
- 【異常リンパ球】(異型リンパ球に対して)
- @N/C比が高い A核形不整は顕著 B核網は繊細〜粗 C核小体は明瞭 D空胞あり E突起あり
- 【骨髄芽球】(上記リンパ系に対して)
- @N/C比はやや高い A核網は繊細〜粗網状 B核小体明瞭 C好塩基性あり Dアウエル小体あり








