
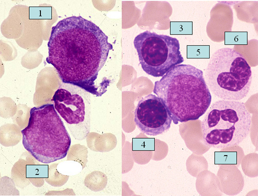
1.前赤芽球 2.骨髄芽球
3.形質細胞 4.多染性赤芽球 5.骨髄芽球 6.桿状核球 7.分葉核球
![]() |
Point
- [前赤芽球] (骨髄芽球に対して)
- @大型細胞 A同心円形核 B核網は粗顆粒状 C核小体あるが不鮮明 D好塩基性強い E突起あり
- [骨髄芽球] (前赤芽球に対して)
- @小型 A類円形核 B核網は繊細 C核小体は明瞭 D好塩基性は中等度 Eアズール顆粒はない
- [赤芽球] (各成熟段階に対して)
- @細胞質の色調 A核網の状態とクロマチンの凝縮度
- [形質細胞] 核網は結節状、核周明庭
- [桿状核球]
- @核の折れ曲がり Aクロマチンは結節状 B核の短径は長径の1/3未満

