
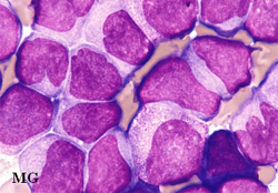
4)急性骨髄単球性白血病(M4)
骨髄では芽球の他に顆粒球系と単球系の混在がみられる. |
|
|
骨髄ではPO染色にて顆粒球系(陽性)と単球系(陰性〜弱陽性)に、EST二重染色で顆粒球系(青色)と単球系(茶褐色)に分かれる。 |
|
末梢血では単球が5,000/μL以上を占める。 |
