
症例 55
| 年齢 | 50歳代 | |||
|---|---|---|---|---|
| 現病歴 | 腰背部痛を訴え来院、血液像にて白赤芽球症(leukoerythroblastosis)を指摘され、精査のため入院となる. | |||
| 血液学所見 | WBC(/μL) | 5,440 | RBC(万/μL) | 372 |
| Hb(g/dL) | 12.4 | Ht(%) | 33.4 | |
| PLT(万/μL) | 5.5 | MCV(fL) | 97.8 | |
| MCH(pg) | 33.3 | MCHC(%) | 37.1 | |
| 血液像(%) | Blast 1, My-Meta. 5. Seg 75, Ly 15, Mo 4, EBL 11/100w |
|||
| 骨髄所見 | NCC(万/μL) | 15.9 | MgK(/μL) | 6.25 |
| abnormal cell | (+) | |||
| 生化学所見 | LDH 9,361 U/L | |||
![]() |
![]() |
|
|---|---|---|
| [骨髄×1000.PAS染色] 集塊細胞はPAS染色に大半が陰性であるが、一部に顆粒状の陽性を認める. |
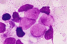
[骨髄×400.MG染色] 骨髄で大型細胞の集塊を認める. |
|
![]() |
![]() |
|
| [骨髄×1000.MG染色] 集塊細胞は18μm大でクロマチンは繊細網状である. |
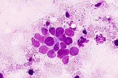
[骨髄×400.MG染色] 集塊細胞は結合性がうかがえる. |
|
![]() |
||
| [骨髄×1000.MG染色] 集塊細胞は大小不同もみられ、クロマチンは繊細から粗網状がみられる. PO染色に陰性である. |
||
| 下記の中から答えをお選びください。(1つだけ選択) |
| 1. リンパ形質細胞性腫瘍(LPL) |
| 2. 転移性神経芽細胞腫 |
| 3. 転移性小細胞癌 |
| 4. 前駆B細胞性リンパ芽球性白血病(PBLL) |
| 5. 転移性横紋筋肉腫 |





