
症例4 解説と解答
| 年齢・性別 | 3ヶ月 男児 | |||
|---|---|---|---|---|
| 血液学所見 | WBC(/μl) | 52,800 (St1,Seg42,Ly32, Eo1,Mo21, At.ly4%) |
RBC(万/μl) | 380 |
| Hb(g/dl) | 10.2 | Ht(%) | 30.7 | |
| PLT(万/μl) | 5.5 | MCV(fl) | 80.8 | |
| MCH(pg) | 26.8 | MCHC(%) | 33.2 | |
| 骨髄所見 | NCC(万/μl) | 50.6 | MgK (μl) | 18.75 |
| 細胞化学所見 | NAP活性 (PS 171,PR 64%) | |||
| 生化学所見 | LD 1497 IU/l | |||
![]() |
![]() |
|
|---|---|---|
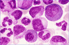
| [PB-MG.×1000] |
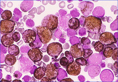
[BM-MG.×400] |
|
![]() |
![]() |
|
| [BM-MG.×1000] |
[BM-PO.×4000 ] |
|
![]() |
||
| [BM-EST.×1000] |
||
1.末梢血の所見を述べて下さい。
白血球の著増(52,800/μl)は芽球を伴わない単球数の増加(11,088/μl)がみられます。
単球数は急性骨髄性白血病(AML)の基準を満たすものでありました。
2.骨髄の所見を述べて下さい。
過形成像で芽球の増加を認めない骨髄系の優位(M-E比12)がうかがえます。
芽球は2%の正常範囲でありました。PO染色では陽性群と陰性群がみられ、前者の反応は顆粒球系が、後者の反応性は単球の混在が考えられます。
それらの所見はエステラーゼ二重染色にてもブチレート陽性(茶褐色:単球系)とクロロアセテート陽性(青色:顆粒球系)に証明されます。
3.予想される診断に何か障害はありますか。
形態学的には末梢血、骨髄ともに芽球の増加をみない単球系が関与する慢性型の病型を考えますが、ただ末梢血の単球は明らかに急性型を示唆するものでありました。
4.追加検査は何かありますか。
広義の意味から慢性骨髄性疾患が考えられますので、単クローン性の証明よりPh染色体とBCR/ABL遺伝子の検索が必要でしょう。
それと若年性よりHbFやGM-CSFに対するコロニー形成能の検索も必要でしょう。
5.形態診断を述べて下さい(条件つきの場合はコメントを)。
末梢血、骨髄ともに芽球の増加をみない単球の増加と混在が所見となり、慢性骨髄単球性白血病を考えます。追加検査にてPh染色体陰性、HbFの増加(15%)、GM-CSFに対するin vitroコロニー形成能が証明され若年性骨髄単球性白血病と診断されました。本型の発症年齢は1ヶ月から早期思春期にわたり75%以下は3歳以下の小児で、男児が女児の2倍を示すようであります(Vardiman JW et al.2001)
6.鑑別診断があれば述べて下さい。
@骨髄単球性白血病
A類単球性白血病





