
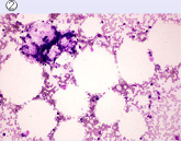
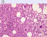
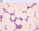
Q10.骨髄穿刺標本のMG染色(上段)とHE染色(下段)の低倍率を示 しますが、組み合わせはマッチしていますか。また形成様式も述べて下さい。
![]() |
![]() |
![]() |
![]() |
![]() |
![]() |
*MG(メイ・ギムザ)染色
HE(ヘマトキシリン・エオジン)染色






