
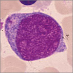
顆粒球系細胞の分化成熟段階を並び替えますと以下のようになります。
そして分裂能を有するのは骨髄芽球から骨髄球までです。
![]() |
![]() |
![]() |
||
| 骨髄芽球 myeloblast 円形核、核網繊細 核小体明瞭、顆粒なし. |
前骨髄球 promyelocyte 類円形核、核偏在(ゴルジ野) 核網やや粗荒、一次顆粒 |
骨髄球 myelocyte 円形核、核網粗荒 二次顆粒 |
||
![]() |
![]() |
![]() |
||
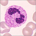
| 分葉核球 segment 核分葉、核網粗荒 クロマチン結節強度 |
桿状核球 stabment,band バナナ状核、核網粗荒 クロマチン結節軽度〜中等度 |
後骨髄球 metamyelocyte 核の陥没(両側、片側1μmまで)核網粗荒 |






