
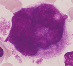
巨核球系細胞の分化成熟段階では下段にある円形核の巨核球(赤枠)がおかしいようです。
本細胞は16倍体の大きさが考えられますが、分化・成熟度から 核分葉にならなければいけないのが円形(単葉)核であることが形態異常として捉えられ、この分化段階には合致していないことになります。
通常の細胞は2Nの細胞が分裂して2Nの細胞が2個できますが、骨髄巨核球は、2N、4N、8N‥と内分裂の度に2nの割合でDNA量を増すが細胞の数は増えないとされます。
![]() |
![]() |
|||
| 骨髄巨核芽球(16倍体) megakaryocyte |
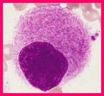
前巨核球 promegakaryocyte |
|||
![]() |
![]() |
![]() |
||
| 裸核の巨核球 | (円形核の巨核球) | 巨核球 megakaryocyte |
||





