
難易度2.
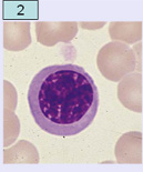
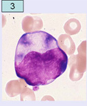
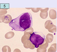
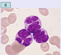
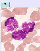
Q1.血液像のMG染色(×1000)です。細胞の同定を行って下さい。
![]() |
![]() |
![]() |
![]() |
![]() |
![]() |
![]() |
【選択細胞】 リンパ球、異型リンパ球、異常(病的)リンパ球、変性リンパ球、単球、多染性赤芽球







