
薬剤がもたらす形態変化
![]() |
![]() |
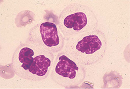
| AMLの治療中、好中球にみられた偽ペルゲル核異常と低顆粒の形態異常である. | G-CSF投与後、幼若顆粒球の出現と顆粒球系に顆粒異常(中毒性顆粒)を認めたもの. |
![]() |
![]() |
| 急性前骨髄性白血病(AML-M3)にてATRA療法後にみられた分化段階の病的な好中球(中央左4個). 右下1個は正常クローンの好中球と思われる. |
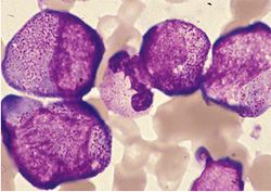
抗生剤の大量投与後にみられた成熟障害であり、分化が前骨髄球あたりで停止し好中球までの分化がみられない. |




