
核が多核の場合は核を1個に絞って、それに細胞質をくっつけて観察すれば以外と解るかも‥.
![]() |
![]() |
![]() |
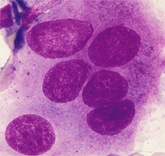
| 巨赤芽球 megaloblast 細胞質の色調と核網を掴むことです. |
形質細胞 plasmocyte 核網と車軸状核が所見です. |
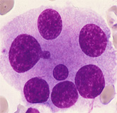
破骨細胞 osteoclast 多核とクロマチンは繊細、不鮮明な細胞質と粗大な顆粒が所見です. |
![]() |
![]() |
![]() |
| 破骨細胞 osteoclast 孤立性の多核と不鮮明の細胞質、大小不同の顆粒が所見です. |
骨髄巨核球 megakaryocyte 多分葉核で核と核は核糸でつながれている. |
多分離核の骨髄巨核球 通常は核糸でつながれるものが分離している(形態異常). |






