
7)腫瘤形成が多い小児急性単球性白血病
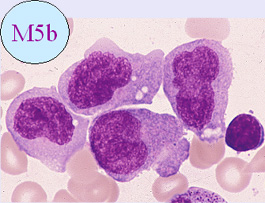
多発皮下腫瘤と中枢神経浸潤を認める。 WBC 10.5万/μL(単球数:55,597/μL) 骨髄:単芽球 34%、前単球・単球の混在 FAB分類:M5b |
![]() |
| 骨髄.MG染色 WBC 10.5万/μL |
左睾丸腫瘤と左眼窩内腫瘤にて左睾丸を摘出する。そのスタンプ標本で単芽球の増殖を認めた。 FAB分類:M5a 再発を含め男児では要検査部位でもある。 |
![]() |
| 睾丸スタンプ.MG染色 |


