
症例46
| 年齢 | 60歳代 | |||
|---|---|---|---|---|
| 既往歴 | 糖尿病、急性気管支炎 | |||
| 現病歴 | 発熱、倦怠感にて来院、血液検査にて白血球増加があり、血液像にて芽球様細胞が6%みられたため骨髄穿刺が施行された. | |||
| 血液学所見 | WBC(/μL) | 17,100 | RBC(万/μL) | 265 |
| Hb(g/dL) | 7.5 | Ht(%) | 22.7 | |
| PLT(万/μL) | 7.5 | MCV(fL) | 85.6 | |
| MCH(pg) | 28.3 | MCHC(%) | 33 | |
| 血液像(%) | Blast 6 ,St-Seg 61 , Ly 25, Mo 6, Eo 2 | |||
| 骨髄所見 | NCC(万/μL) | 8.2 | MgK(/μL) | 6.25 |
| Blast(%) | 24 | |||
| 生化学所見 | LDH 1,084 U/L、CRP 31.8 mg/dL | |||
| 染色体所見 | 46,XY,+2q+,5p+,6p+,+7q-,+7q-,-8,-13,-14q+,19p+,19p++,-21[6/20] | |||
![]() |
![]() |
|
|---|---|---|
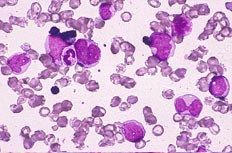
| [骨髄×400.MG染色] 大型細胞が散見される. |
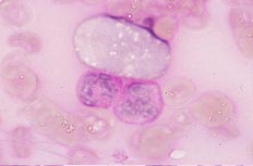
[骨髄×1000.MG染色] 芽球様細胞は核形不整が顕著で核小体が著明である. |
|
![]() |
![]() |
|
| [骨髄×1000.MG染色] 芽球様細胞は好中球よりも大型である. |
[骨髄×1000.MG染色] 芽球様細胞おける細胞質の好塩基性は中等度から強度で、空胞が目につく. |
|
![]() |
||
| [骨髄×1000.PAS染色] 芽球様細胞はPAS染色に陰性である. |
||
| 下記の中から答えをお選びください。 | |
| 1 | リンパ形質細胞性腫瘍(LPL) |
|---|---|
| 2 | ヘアリー細胞白血病(HCL) |
| 3 | バーキット白血病(BL) |
| 4 | 前リンパ球性白血病(PLL) |
| 5 | マントル細胞リンパ腫(MCL) |





