
ここで白血球の形態異常を整理しましょう。
先天性と後天性(敗血症、MDS)が代表的です。@核の異常、A細胞質の異常、B顆粒の異常に分けられます。
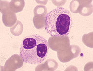
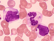
![]() Pelger-Huët異常 |
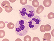
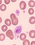
![]() May-Hegglin異常 |
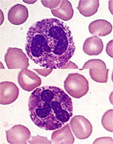
![]() Alder-Reilly異常 |
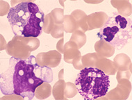
![]() Jordans異常 |
![]() Chédiak-Higashi異常 |
![]() May-Hegglin異常 |






