
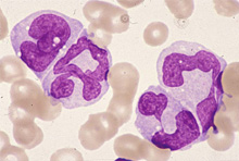
ここで単球系の形態を探りましょう。
単球は、成熟するにつれ核形不整が顕著になり、核網の繊細や二重構造(私見)が特徴になります。
疾患では異常なほどの分葉(lobulation)傾向がみられることが多く、好中球に類似しますが、やはり核網の繊細さが決め手になりま
す。二重構造は核の周囲(内形質:顆粒質)と細胞質辺縁(外形質:硝子質)とに染色性の差がみられることです。
![]() |
![]() |
![]() |
| 急性骨髄単球性白血病(M4) | 骨髄異形成症候群 (MDS) |
重症感染症 |
![]() |
![]() |
![]() |
| 慢性骨髄単球性白血病(CMML) | 化学療法中 | 正常単球 急性単球性白血病(M5) |






