
【ネットで形態 第1弾】
電脳・血液形態塾
ページへ 【ネットで形態 第2弾】
血液形態自習塾
ページへ 【ネットで形態 第3弾】
マンスリー形態マガジン
ページへ 【ネットで形態 第4弾】
マンスリー形態マガジン
ページへ
電脳・血液形態塾の特長とご活用方法
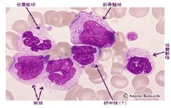
- 提示症例は形態コンシェルジュを引き受けてくださった阿南先生の約30年間のご経験に基づいて編集されたもので、白血病、悪性リンパ腫、骨髄転移性腫瘍を提示しています。(中・上級者向け)
- 造血器腫瘍についてはWHO分類を採用しています。
-
形式は問題解答形式です。各形態画像をクリックすると、拡大画像が現れます。拡大画像が現れない場合は、ポップアップがブロックされておりますので、「ポップアップを許可する」に設定してください。5択の中から不正解をクリックすると、Topに戻ります。
ポップアップテスト
正解の場合は、解説&臨床診断をご覧いただけます。さらに、各形態画像をクリックすると、拡大画像が現れ、細胞についての解説がご覧いただけます。症例55は、投票にて回答に参加することができます。 - 解説は報告書に基づき以下の項目についてまとめてあります。
- ≫ 前発信:
@末梢血所見から A骨髄所見から B細胞化学所見から 【形態診断】へせまる。 - ≫ 後発信:
@細胞表面形質から A分子生物学的から 【臨床診断】(WHO分類)へせまる。
- ≫ 前発信:
-

- 当コンテンツはフリーアクセスです。
- 非典型例を含め今後も症例を集積して参りますので、ご期待ください。
- 電脳・血液形態塾に関する血液検査技師の皆様のご意見、ご要望をお待ちしております。また、形態コンシェルジュへのご質問も遠慮なくお寄せください。
ベックマン・コールター電脳・血液形態塾スタッフ一同

