
Q11. 骨髄像の細胞同定を行って下さい。 解答と解説
![]() |
|---|
| 選択細胞 | |
| 1 | 骨髄芽球 |
|---|---|
| 2 | 前骨髄球 |
| 3 | 骨髄球 |
| 4 | 単芽球 |
| 5 | 前単球 |
【ねらいと解説】
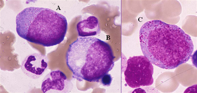
本骨髄像は正常に近く、AとCは好中性顆粒球を示します。Aはその成熟段階に発生する移行型(中間型)を、Bは低顆粒気味のものです。
Cは正常の骨髄でも遭遇しますので前骨髄球との鑑別を余儀なくされるものとして提示しました。
1)AとB
ともに同系のもので核が偏在しているところは類似していますがよく観察しますとAの方が幼若型にみえます。
それはクロマチンが繊細であることです。また、好塩基性の細胞質には微細ながらアズール顆粒を有するため、骨髄芽球から成熟した前骨髄球と思われます(通常、骨髄芽球は顆粒をもたない)。それに比べ、Bはクロマチンが粗荒より成熟型であり、しかも低顆粒を呈しているようですが、核の陥没部位にゴルジ野が想定されますのでAよりも成熟へ向っている前骨髄球と思われます。
すなわち、Aは移行型の前骨髄球、Bは低顆粒気味の前骨髄球と同定しました。
2)C
本マンスリーでも提示したことがありますが、類似する前骨髄球に比べ、@核はほぼ中心性、A核形は不整、Bクロマチンは繊細、C好塩基性の細胞質には微細顆粒を有することが所見になります。但し、本例はアズール顆粒が太すぎますが、他の所見から前単球に同定されるはずです。
【解答】
A:前骨髄球(移行型)
B:前骨髄球
C:前単球
【正解率】
A:25%
B:45%
C:45%
形態マガジンTOPへ戻る
「症例11 解答と解説 」 を見る→

