HOME > 血液検査コーナー > 「ネットで形態」 血液形態自習塾 > 第1部 > 2. 染色編 Q1

「ネットで形態」 血液形態自習塾 第1部 
 形態観察の基礎知識

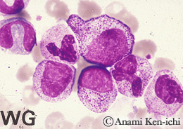
Q1. 普通染色を示しますがそれぞれに染色性のコメントを述べて下さい。

W:ライト染色、G:ギムザ染色、WG:ライトギムザ染色、MG:メイギムザ染色


≪前のページへ目次ページへ次のページへ≫

 

ページトップ