
CMLの急性転化像 (骨髄)
通常は慢性期から移行期を経て急性転化を向かえることが多いようです。
移行期では芽球の増加10〜19%, 好塩基球の増加,血小板減少または血小板増加(100万/μL), 白血球増加, 脾腫大, 付加染色体異常の出現などが所見です。
![]() リンパ性への転化 |
![]() 骨髄性(M2様)への転化 |
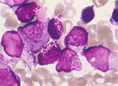
![]() 骨髄性(M3様)への転化 |
![]() 骨髄性(M7様)への転化 |
![]() 骨髄性(好塩基性)への転化 |
![]() 骨髄芽球腫 (リンパ節) (AMLと同じ) |
急性(転化)期では、芽球が20%以上、芽球増殖がみられる髄外病変の存在、骨髄生検にて芽球の集蔟像の確認が必要です。
急性期の70%の症例が骨髄系(好中球,好酸球,好塩基球)、単球系、赤芽球、巨核球へ、30%はリンパ系への転化とされています。
現在では急性期の原因となるチロシンキナーゼの阻害剤(イマチニブ)の分子標的療法により完全寛解の報告が多くなり、延命効果が期待されています。






