
症例2
| 年齢 | 80歳代 | |||
|---|---|---|---|---|
| 現病歴 | 高血圧症にて通院中、転倒し下顎、両膝を打撲し紫斑が出現する.その後発熱,呼吸不全を主訴に来院する. 白血球増加と貧血を指摘され入院となる. 胸部X線照射にて重症肺炎像(胸膜炎)がみられた. |
|||
| 血液学所見 | WBC(/μL) | 192,100 | RBC(万/μL) | 286 |
| Hb(g/dl) | 8.0 | Ht(%) | 25.2 | |
| PLT(万/μL) | 8.8 | MCV(fL) | 88.1 | |
| MCH(pg) | 28.0 | MCHC(%) | 31.7 | |
| 血液像(%) | Blast 2, Promy 4, my 4,Met 2, St 3, Seg 74,Eo 2,Ba 9, NRBC 3/100w |
|||
| 骨髄所見 | NCC(万/μL) | 48.6 | MgK(/μL) | 200 |
| M/E比 | 10.1 | Blast様(%) | 2.0 | |
| 細胞化学所見 | NAP活性(PS 353,PR 92%) | |||
| 生化学所見 | LDH 1,382 U/L、CRP 24.5 mg/dL | |||
![]() |
![]() |
|
|---|---|---|
| [末梢血×400.MG染色] 顆粒球系細胞の増加がみられる. |
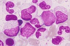
[骨髄×400.MG染色] M/E比は高く、顆粒球系には分化段階がみられる. |
|
![]() |
![]() |
|
| [骨髄×1000.MG染色] 顆粒球系細胞の分化段階に好塩基球の増加を 認める. |
[骨髄×1000.MG染色] 芽球は3%以下で、顆粒球系細胞には低顆粒が みられる. |
|
![]() |
||
| [末梢血×1000.NAP染色] 成熟好中球はNAP染色に多くの陽性がみられる. |
| 下記の中から答えをお選びください。 | |
| 1 | 慢性好中球性白血病(CNL) |
|---|---|
| 2 | 慢性骨髄単球性白血病(CMML) |
| 3 | 慢性骨髄性白血病(CML) |
| 4 | 骨髄異形成腫瘍(MDS) |
| 5 | 非定型性慢性骨髄性白血病(aCML) |





