
症例6
| 年齢 | 70歳代 | |||
|---|---|---|---|---|
| 現病歴 | 貧血、全身倦怠感を主訴に来院し、精査のため骨髄検査が施行された. | |||
| 血液学所見 | WBC(/μL) | 6,600 | RBC(万/μL) | 163 |
| Hb(g/dL) | 5.1 | Ht(%) | 15.5 | |
| PLT(万/μL) | 2.9 | MCV(fL) | 95.1 | |
| MCH(pg) | 31.3 | MCHC(%) | 32.9 | |
| 血液像(%) | St-Seg 56, Ly 32, Mo 5, Eo 4, Ba 3 | |||
| 骨髄所見 | NCC(万/μL) | 52.5 | MgK(/μL) | 150 |
| M/E比 | 8.4 | Blast様(%) | 2.4 | |
| 生化学所見 | LDH 360 U/L, CRP 3.45mg/dL | |||
![]() |
![]() |
|
|---|---|---|
| [末梢血×1000.MG染色] 赤血球の著減に伴い、中央淡明の広いものや赤血球断片を認める. |
[骨髄×400.MG染色] 末梢血の汎血球減少に相反して骨髄は過形成である. |
|
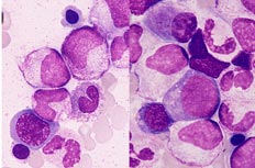
![]() |
![]() |
|
| [骨髄×1000.MG染色] 骨髄は過形成で顆粒球系に異形成がみられる. |
[骨髄×1000.MG染色] 芽球様細胞は正常に比べ大型で、N/C比は低く、核は類円形である. |
|
![]() |
||
| [骨髄×1000.PAS染色(左).Fe染色(右)] 成熟赤芽球はPAS染色に一部陽性、Fe染色に陽性がみられる. |
||
| 下記の中から答えをお選びください。 | |
| 1 | 慢性好中球性白血病(CNL) |
|---|---|
| 2 | 慢性骨髄単球性白血病(CMML) |
| 3 | MDS(不応性貧血:RA) |
| 4 | MDS(芽球増加を伴うMDS:MDS-EB) |
| 5 | MDS(鉄芽球を伴うMDS:MDS-RS) |





