
症例 50
| 年齢 | 6歳未満 | |||
|---|---|---|---|---|
| 現病歴 | 発熱が続くため4日後に近医を受診し白血球増加53,000/μLを指摘され当院を紹介入院となる.頚部リンパ節腫脹,顎下両側にウズラ卵大の腫瘤を認める. 肝腫は4横指認め、脾腫はない. |
|||
| 血液学所見 | WBC(/μL) | 65,110 | RBC(万/μL) | 470 |
| Hb(g/dL) | 15.8 | Ht(%) | 44.5 | |
| PLT(万/μL) | 23.7 | MCV(fL) | 94.6 | |
| MCH(pg) | 33.6 | MCHC(%) | 35.5 | |
| 血液像(%) | Ly 80 (LGL様), St-seg 15, Mo 5 | |||
| 骨髄所見 | NCC(万/μL) | 12.5 | ||
| 異常細胞(+) | ||||
| 生化学所見 | LDH 617 U/L | |||
| 染色体所見 | 46,XY,t(2;5)(p23;q35) | |||
![]() |
![]() |
|
|---|---|---|
| [末梢血×1000.MG染色] 核形不整の大型細胞がみられる. |
[骨髄×400.MG染色] 核形不整や細胞質に空胞をもつ大型細胞がみられる. |
|
![]() |
![]() |
|
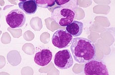
| [骨髄×1000.MG染色] 大型細胞の一部は 好塩基性の細胞質に顕著な空胞を認める. |
[骨髄×1000.MG染色] 周囲には小型で核形不整をもつクロマチンの粗荒な小型細胞がみられる. |
|
![]() |
||
| [骨髄×1000.PAS染色] 小型から大型細胞はPAS染色に陰性である. |
||
| 下記の中から答えをお選びください。 | |
| 1 | 未分化大細胞型リンパ腫(ALCL) |
|---|---|
| 2 | ヘアリー細胞白血病(HCL) |
| 3 | バーキット白血病(BL) |
| 4 | 前リンパ球性白血病(PLL) |
| 5 | 形質細胞性白血病(PCL) |





