
症例 51
| 年齢 | 40歳代 | |||
|---|---|---|---|---|
| 現病歴 | 数週間前より倦怠感、微熱があり近医を受診するも軽快しないために当院を受診する. 発熱(38.7℃)と頚部、腋窩にリンパ節腫脹を認めたため入院となる. |
|||
| 血液学所見 | WBC(/μL) | 9,100 | RBC(万/μL) | 486 |
| Hb(g/dL) | 15.3 | Ht(%) | 44.3 | |
| PLT(万/μL) | 23.4 | MCV(fL) | 91.1 | |
| MCH(pg) | 31.1 | MCHC(%) | 34.5 | |
| 血液像(%) | St-seg 68、Ly 30, Mo 2 | |||
| 骨髄所見 | NCC(万/μL) | 6.8 | MgK(/μL) | 6.25 |
| abnormal cell | (+) | |||
| リンパ節所見 | abnormal cell (+), リンパ球(++) | |||
![]() |
![]() |
|
|---|---|---|
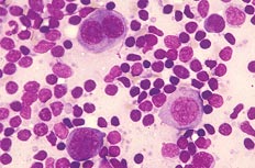
| [骨髄×1000.MG染色] 細胞径30μm大の大型細胞は二核で明瞭な核小体がみられる. |
[骨髄×1000.免疫染色] 骨髄の多核細胞はCD30に陽性である. |
|
![]() |
![]() |
|
| [頚部リンパ節×400.MG染色] 大小のリンパ球を背景に大型細胞がみられる. |
[頚部リンパ節×1000.MG染色] 単核細胞のクロマチンは粗顆粒状で明瞭な核小体がみられる. |
|
![]() |
||
| [頚部リンパ節×200.HE染色] 中央に大型で明瞭な核小体を有する細胞がみられる. (久留米大学病理部 大島孝一先生のご提供によるもの) |
||
| 下記の中から答えをお選びください。 | |
| 1 | 未分化大細胞型リンパ腫(ALCL) |
|---|---|
| 2 | バーキット白血病(BL) |
| 3 | 成人T細胞白血病/リンパ腫(ATL/L) |
| 4 | ホジキンリンパ腫(HL) |
| 5 | び慢性B大細胞型リンパ腫(DLBCL) |





