
ここでは正常の巨核球megakaryocyteを提示します!
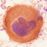
骨髄の造血三血球(系統)で最も大型なものは血小板系の骨髄巨核球です。
巨核球は未熟の段階で核分裂やDNA合成を生じ、細胞質の分裂を伴わない、いわゆる内分裂(endomitosis)の様式とります。正常型は倍数体の核(2N,4N,8N,16N,32N‥)を有し、大型で分葉核を示します。
大きいために癌細胞との区別を要する場合があり、免疫酵素抗体法でそれを否定することも1つの手段です。
![]() |
![]() |
![]() |
| 血小板系に特異的な抗体(CD61)が陽性の巨核球 | MG染色でみられた16倍体巨核球[免疫染色] | PAS染色にび慢性陽性の巨核球 |
![]() |
![]() |
![]() |
| パパニコロウ染色で核分葉やクロマチン凝集が掴める巨核球 | 上皮性癌に対する抗体(EMA)に陰性の巨核球[免疫染色] | 横紋筋肉腫に対する抗体(デスミン)に陰性の巨核球[免疫染色] |






