
こちらは巨核球の形態異常です!
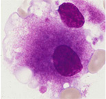
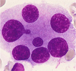
巨核球の異常所見として、@低分葉核(単円形核)巨核球、A小型巨核球、B微小巨核球、C過分葉、D多分離核がある。
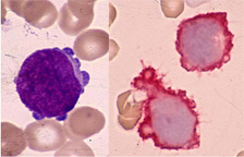
巨核芽球の所見として、@大小不同性、Aクロマチン粗荒、B細胞質に水泡、蕾状突起、CCD41,42陽性がある。
![]() |
![]() |
![]() |
![]() |
| 単円形核の巨核球(16倍体) | 小型巨核球(前骨髄球より小型のものをいう) | 微小巨核球(矢印) | 微小巨核球はPAS染色にび慢性の陽性 |
![]() |
![]() |
![]() |
| 過分葉の巨核球 | 多分離核の巨核球 | 巨核芽球として識別できるのは4N異常とされる. CD41(血小板膜糖蛋白GPUb/Va)が陽性.[免疫染色] |







