
症例19
| 年齢 | 10歳代 | |||
|---|---|---|---|---|
| 現病歴 | 全身倦怠感にて来院、貧血、血小板減少があり、末梢血に芽球様細胞がみられたため入院となる. 肝腫 (+)、脾腫 (−)、リンパ節腫 (−) |
|||
| 血液学所見 | WBC(/μL) | 3,510 | RBC(万/μL) | 152 |
| Hb(g/dL) | 5.0 | Ht(%) | 15.0 | |
| PLT(万/μL) | 1.3 | MCV(fL) | 98.7 | |
| MCH(pg) | 32.9 | MCHC(%) | 33.3 | |
| 血液像(%) | Blast様 | 73 | ||
| 骨髄所見 | NCC(万/μL) | 14.2 | MgK(/μL) | 0 |
| Blast(%) | 94.0 | |||
| 細胞化学所見 | NAP染色(PS 56, PR 32) | |||
| 表面形質 | CD13, CD34, CD117 ,CD38, HLA-DR (+) | |||
![]() |
![]() |
|
|---|---|---|
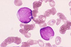
| [末梢血×1000.MG染色] クロマチンは繊細で明瞭な核小体を持つ芽球様細胞が見られる. |
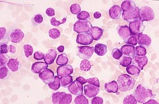
[骨髄×400.MG染色] 芽球様細胞の増加がうかがえる. |
|
![]() |
![]() |
|
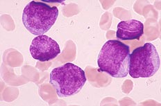
| [骨髄×1000.MG染色] N/C比が高く、核形不整が著明で、クロマチンは粗顆粒状で、アウエル小体を認める. |
[骨髄×1000.MG染色] アウエル小体は多様性である. |
|
![]() |
||
| [骨髄×1000.SBB染色] 芽球様細胞はSBB染色に強陽性である. |
||
正解 : 2 急性骨髄性白血病(8;21転座M1)
拡大した形態画像には、解説が含まれています。
| 年齢 | 10歳代 |
|---|---|
| 〜前発信〜 | |
| 末梢血所見から | 白血球(3,510/μL) の分類にて芽球様細胞が73%みられる. 芽球様細胞は核形不整が顕著で一部にアウエル小体を認める. |
| 骨髄所見から | 骨髄にて芽球様細胞は94%と増加し、アウエル小体を有するものがある. 芽球様細胞は核形不整が顕著で、アウエル小体には長いものや短いものまた束状のものまでみられる. |
| 細胞化学所見から | 芽球様細胞はPO染色に100%が強陽性、SBB染色も同様の所見である. EST染色は陰性である. NAP活性は陽性指数.56、陽性率32%と低下である. |
| 【形態診断】 | 骨髄にてPO陽性芽球が90%以上を占めることよりAML-M1が推測される. しかし、芽球の核形不整と様々なアウエル小体を認め、PO染色の陽性態度が強度、NAP活性の低下よりM1の病型で8;21転座も考える. |
| 〜後発信〜 | |
| 表面形質から | CD13, CD34, CD117, CD38, HLA-DR (+) |
| 染色体所見から | 46,XX,t(8;21)(q22;q22) RUNX1::RUNX1T1 gene(+) |
| 【臨床診断】 | 骨髄における芽球の割合とPO陽性よりM1と診断された. しかし、染色体に核型異常がみられたためM1で8;21転座を有するものとされた. 8;21転座はM2に多くみられるが、M1やM4にもまれにみられると言われる. |
| WHO分類(2022) | 遺伝子異常で定義されるAML ☆RUNX1::RUNX1T1融合遺伝子を有するAML |





