
症例50
| 年齢 | 6歳未満 | |||
|---|---|---|---|---|
| 現病歴 | 発熱が続くため4日後に近医を受診し白血球増加53,000/μLを指摘され当院を紹介入院となる.頚部リンパ節腫脹,顎下両側にウズラ卵大の腫瘤を認める. 肝腫は4横指認め、脾腫はない. |
|||
| 血液学所見 | WBC(/μL) | 65,110 | RBC(万/μL) | 470 |
| Hb(g/dL) | 15.8 | Ht(%) | 44.5 | |
| PLT(万/μL) | 23.7 | MCV(fL) | 94.6 | |
| MCH(pg) | 33.6 | MCHC(%) | 35.5 | |
| 血液像(%) | Ly 80 (LGL様), St-seg 15, Mo 5 | |||
| 骨髄所見 | NCC(万/μL) | 12.5 | ||
| 異常細胞(+) | ||||
| 生化学所見 | LDH 617 U/L | |||
| 染色体所見 | 46,XY,t(2;5)(p23;q35) | |||
![]() |
![]() |
|
|---|---|---|
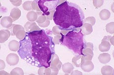
| [末梢血×1000.MG染色] 核形不整の大型細胞がみられる. |
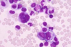
[骨髄×400.MG染色] 核形不整や細胞質に空胞をもつ大型細胞がみられる. |
|
![]() |
![]() |
|
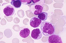
| [骨髄×1000.MG染色] 大型細胞の一部は 好塩基性の細胞質に顕著な空胞を認める. |
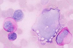
[骨髄×1000.MG染色] 周囲には小型で核形不整をもつクロマチンの粗荒な小型細胞がみられる. |
|
![]() |
||
| [骨髄×1000.PAS染色] 小型から大型細胞はPAS染色に陰性である. |
||
正解 : 1 未分化大細胞型リンパ腫(ALCL)
拡大した形態画像には、解説が含まれています。
| 年齢 | 6歳未満 |
|---|---|
| 〜前発信〜 | |
| 末梢血所見から | 白血球増加(65,110/μL)の分類にて芽球様細胞はみられない. リンパ球が80%(52,088/μL)と増加し、核形不整があり、一部にアズール顆粒を認める. |
| 骨髄所見から | 骨髄はやや低形成ながらも芽球様細胞が散見される. それらは大小不同性で、大型なものは核形不整や核小体を有するものがある.
クロマチンは粗荒で細胞質の好塩基性は中等度で空胞が著しい. 小型のものはN/C比は低く、核形不整が顕著である. |
| 細胞化学所見から | 芽球様細胞はPO染色、PAS染色、EST染色に陰性である. |
| 【形態診断】 | 小型〜大型の芽球様細胞は形態学的ならびにPO染色が陰性よりリンパ球系が考えられ、大型で空胞を有するものや小型で核形不整のものは非ホジキンリンパ腫(NHL)のlarge cell typeが考えられる. |
| 〜後発信〜 | |
| 表面形質から | CD4(94.8%)、CD7(79.2%)、CD8(89.9%)、CD45RO(94.2%)、 HLA-DR(92.3%)、cyCD3(93.1%)、CD20(69.7%)、CD30(68.8%) |
| 分子生物学的から | 46,XY,t(2;5)(p23;q35) |
| 【臨床診断】 | 頚部のリンパ節生検による病理診断は、腫瘍細胞が実質内にび慢性に分布し類洞浸潤がみられ、それは敷石状に配列する. 腫瘍細胞は大型で細胞質が広く、核形は多様性に富み、核小体を認める.免疫学的にCD30(ki-1)陽性や染色体ではt(2;5)が証明されたことでAnaplastic large cell lymphoma(ALCL)と診断された. 未分化リンパ腫キナーゼ(ALK)の検索は行っていない. |
| WHO分類<(2022)/th> | 成熟T/NK細胞白血病(mature T/NK cell leukemia) ☆未分化大細胞リンパ腫(anaplastic large cell lymphoma: ALCL) |





