
症例41
| 年齢 | 60歳代 | |||
|---|---|---|---|---|
| 現病歴 | 全身倦怠感を主訴に来院し、貧血を指摘され精査のため骨髄穿刺が施行された. | |||
| 血液学所見 | WBC(/μL) | 5,320 | RBC(万/μL) | 258 |
| Hb(g/dL) | 7.2 | Ht(%) | 24.3 | |
| PLT(万/μL) | 22.4 | MCV(fL) | 94.1 | |
| MCH(pg) | 28.2 | MCHC(%) | 29.6 | |
| 血液像(%) | Ab.Ly 2 ,St-Seg 44 , Ly 50, Mo 3, Eo 1 | |||
| 骨髄所見 | NCC(万/μL) | 4.4 | MgK(/μL) | 0.0 |
| Abnormal ly | 6.0 | |||
| 生化学所見 | LDH 516 U/L, Ca 8.7 mg/dL, TP 9.2 g/dL | |||
![]() |
![]() |
|
|---|---|---|
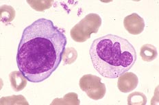
| [末梢血×1000.MG染色] 核は偏在性で著明な核小体を有する細胞が散見される. |
[骨髄×400.MG染色] 低形成像に少数ながら核偏在性の細胞を認める. |
|
![]() |
![]() |
|
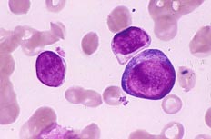
| [骨髄×1000.MG染色] 核偏在性の細胞は好塩基性でクロマチンは粗荒である. |
[骨髄×1000.MG染色] 狭い細胞質に核はしっかりと偏在傾向にある. |
|
![]() |
||
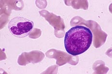
| [リンパ節×1000.MG染色] 小型〜中型のリンパ球の増生がみられ、核偏在や核小体を認める. |
||
| 下記の中から答えをお選びください。 | |
| 1 | リンパ形質細胞性リンパ腫(LPL) |
|---|---|
| 2 | ヘアリー細胞白血病(HCL) |
| 3 | 濾胞性リンパ腫(FL) |
| 4 | 前リンパ球性白血病(PLL) |
| 5 | 形質細胞性白血病(PCL) |





