
症例12
| 年齢 | 50歳代 女性 | |||
|---|---|---|---|---|
| 現病歴 | 1ヶ月前より、上下肢に出血斑が出現.その後歯肉腫脹を自覚、全身倦怠感を認めるようになり、近医受診する. 血液検査にて白血病が疑われ当院入院となる. | |||
| 血液学所見 | WBC(/μL) | 66,990 | RBC(万/μL) | 275 |
| Hb(g/dL) | 8.6 | Ht(%) | 27.1 | |
| PLT(万/μL) | 3.0 | MCV(fL) | 98.5 | |
| MCH(pg) | 31.2 | MCHC(%) | 31.7 | |
| 血液像(%) | Blast 9.0, Mo 79.0 | |||
| 骨髄所見 | NCC(万/μL) | 18.2 | Mgk(/μL) | 15.0 |
| Blast様 23%, Myeloid 16, Mo. 54, Eo 4% | ||||
| 生化学所見 | LDH 400 U/L、CRP 0.72mg/dL | |||
| 表面形質 | CD2,CD13,CD14,CD33,CD34,HLA-DR(+) | |||
![]() |
![]() |
|
|---|---|---|
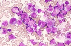
| [末梢血×1000.MG染色] 芽球は9%出現し、周囲には単球の増加が みられる. |
[骨髄×400.MG染色] 顆粒球系細胞は分化傾向が強い. |
|
![]() |
![]() |
|
| [骨髄×1000.MG染色] 顆粒球系と単球系の混在のなか、好酸球がみられる. |
[骨髄×1000.PO染色] PO染色で強陽性、弱陽性、陰性がみられる. |
|
![]() |
||
| [骨髄×1000.EST染色] EST二重染色に陽性がみられる. |
||
| 下記の中から答えをお選びください。 | |
| 1 | 急性骨髄性白血病(M1) |
|---|---|
| 2 | 急性骨髄性白血病(M2) |
| 3 | 急性骨髄性白血病(8;21転座M2) |
| 4 | 急性骨髄単球性白血病(16逆位M4Eo) |
| 5 | 急性リンパ性白血病(ALL) |





