
症例22
| 年齢 | 80歳代 | |||
|---|---|---|---|---|
| 現症 | 腰痛がひどく、近医を受診し汎血球減少を指摘され当院へ紹介される.汎血球減少の精査と芽球様細胞の出現より骨髄穿刺が施行された. | |||
| 血液学所見 | WBC(/μL) | 1,200 | RBC(万/μL) | 131 |
| Hb(g/dL) | 5.3 | Ht(%) | 16.0 | |
| PLT(万/μL) | 4.4 | MCV(fL) | 121.8 | |
| MCH(pg) | 40.4 | MCHC(%) | 33.1 | |
| 血液像(%) | Blast 0.5, Seg 47.5, Ly 51.5 Mo 0.5, Ebl 1/100w |
|||
| 骨髄所見 | NCC(万/μL) | 1.4 | MgK(/μL) | 0 |
| Blast様(%) | 54.0 | |||
| 生化学所見 | LDH 412 U/L | |||
| 染色体所見 | 47,XY,+8 | |||
![]() |
![]() |
|
|---|---|---|
| [末梢血×400.MG染色] 白血球減少のなか芽球様細胞がみられる. |
[骨髄×400.MG染色] 低形成のなか芽球様細胞が54%みられる. |
|
![]() |
![]() |
|
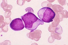
| [骨髄×1000.MG染色] 芽球様細胞は軽度ながら核形不整がみられる. |
[骨髄×1000.MG染色] 赤芽球系細胞に異形成を認める. |
|
![]() |
||
| [骨髄×1000.MS染色] 巨核球系細胞に異形成を認める. |
||
| 下記の中から答えをお選びください。 | |
| 1 | 急性骨髄性白血病(M0) |
|---|---|
| 2 | 急性骨髄性白血病(M1) |
| 3 | 急性骨髄性白血病(M2) |
| 4 | 急性前骨髄球性白血病(M3) |
| 5 | 急性リンパ性白血病(ALL) |





