
症例25
| 年齢 | 10歳代 | |||
|---|---|---|---|---|
| 現病歴 | 発熱、顔面不良 脾腫 (+)、肝腫 (−)、リンパ節腫 (−) |
|||
| 血液学所見 | WBC(/μL) | 2,000 | RBC(万/μL) | 360 |
| Hb(g/dL) | 11.4 | Ht(%) | 34.4 | |
| PLT(万/μL) | 1.1 | MCV(fL) | 95.6 | |
| MCH(pg) | 31.7 | MCHC(%) | 33.1 | |
| 血液像(%) | Blast様 | 1.0 | ||
| 骨髄所見 | NCC(万/μL) | 24.2 | MgK(/μL) | 0 |
| Blast様(%) | 98.0 | |||
| 生化学所見 | LDH 2,310 U/L | |||
| 表面形質 | CD13, CD33, CD14, CD11c, HLA-DR, TdT (+) | |||
![]() |
![]() |
|
|---|---|---|
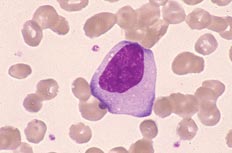
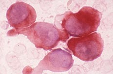
| [末梢血×1000.MG染色] 芽球様細胞はN/C比が低く、クロマチンは粗網状で著明な核小体がみられる(1%). |
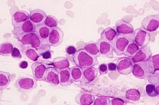
[骨髄×400.MG染色] N/C比は低く、芽球様細胞の増加がみられる. |
|
![]() |
![]() |
|
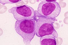
| [骨髄×1000.MG染色] 芽球様細胞(98%)は類円形核でクロマチンは繊細網状で著明な核小体がみられる. |
[骨髄×1000.PO染色] 芽球様細胞はPO染色に陰性である. |
|
![]() |
||
| [骨髄×1000.EST染色] 芽球様細胞はα-NA染色にび慢性の陽性である. |
||
正解 : 2 急性単球性白血病(M5a)
拡大した形態画像には、解説が含まれています。
| 年齢 | 10歳代 |
|---|---|
| 〜前発信〜 | |
| 末梢血所見から | 白血球数減少 (2,000/μL)の分類にて芽球様細胞は1%みられる. |
| 骨髄所見から | 骨髄では、大型でN/C比の低い単球様細胞の増加を認める. NEC中、単球様細胞は100%を占め、そのうち単芽球は98%を占める. |
| 細胞化学所見から | 単芽球はPO染色に陰性、EST染色に強陽性を呈し、NaFに阻害された. EST染色ではα-NB染色に顆粒状、α-NA染色にび慢性陽性がみられる. |
| 【形態診断】 | 骨髄にて単球系の増加、しかも単芽球が80%以上を示すことよりM5aを考える. EST染色が陽性、NaFに阻害されたことより確診になる. |
| 〜後発信〜 | |
| 表面形質から | CD13, CD33, CD14, CD11c, HLA-DR, TdT(+) |
| 【臨床診断】 | 骨髄にて単球系細胞が優位を占め、単芽球を98%認め、EST染色や表面形質よりM5aと診断された. |
| WHO分類(2022) | 芽球の分化段階で定義されるAML(AML, defining by differentiation) ☆急性単球性白血病(Acute monocytic leukemia)(M5a) |





