
症例 47
| 年齢 | 50歳代 | |||
|---|---|---|---|---|
| 現病歴 | 倦怠感を主訴に来院し、白血球増加を指摘され、精査のため骨髄穿刺が施行された. 縦隔腫瘤あり. | |||
| 血液学所見 | WBC(/μL) | 12,150 | RBC(万/μL) | 393 |
| Hb(g/dL) | 11.8 | Ht(%) | 36.9 | |
| PLT(万/μL) | 11.6 | MCV(fL) | 93.8 | |
| MCH(pg) | 30 | MCHC(%) | 32 | |
| 血液像(%) | Blast様44, St. 5, Ly 45, Mo 6 | |||
| 骨髄所見 | NCC(万/μL) | 24.6 | MgK(/μL) | 0 |
| Blast様(%) | 82 | Ly | 24.5 | |
| 生化学所見 | LDH 1,360 U/L | |||
| 染色体所見 | 46,XX,t(1;7)(q34;q34) | |||
| 化学療法 | JALSG-ALL97(CPM+DNR+VCR+PSL) | |||
![]() |
![]() |
|
|---|---|---|
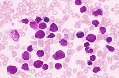
| [骨髄×400.MG染色] 正形成のなかN/C比の高い芽球様細胞がみられる. |
[骨髄×1000.MG染色] 芽球様細胞のクロマチンは粗顆粒状で一部に核形不整がみられる. |
|
![]() |
![]() |
|
| [骨髄×1000.MG染色] 芽球様細胞の一部に核小体を認める. |
[骨髄×1000.PO染色] 芽球様細胞はPO染色に陰性である. |
|
![]() |
||
| [骨髄×1000.PAS染色] 芽球様細胞はPAS染色に一部陽性である. |
||
| 下記の中から答えをお選びください。 | |
| 1 | 前駆T細胞性リンパ芽球性白血病 |
|---|---|
| 2 | ヘアリー細胞白血病(HCL) |
| 3 | バーキット白血病(BL) |
| 4 | 前リンパ球性白血病(PLL) |
| 5 | 形質細胞性白血病(PCL) |





