前略
まだあげ初(そ)めし前髪の
林檎のもとに見えしとき
前にさしたる花櫛の
花ある君と思ひけり
これは、島崎藤村作の「初恋」のはじめの一節です。この「初恋」は、少年と少女の恋の行方を4つの連で描いた七五調の文語定型詩です。この「初恋」は、藤村が25歳(明治30年8月)の時に発表した『若菜集』に収められており、若者の間で人気を博し、『若菜集』はベストセラーとなりました。この時代は、現代とは異なり自由恋愛が一般的ではありませんでしたので、「初恋」で示された男女の新しい恋愛観が支持されたと思われます。
この「初恋」を読み解きますと、林檎という言葉が三回ほど登場していますが、初恋の甘酸っぱい感情を林檎に例えて表現されています。また、藤村は、信州木曾の中山道馬籠(現在の岐阜県中津川市馬籠)に生まれたこともあって、ふるさとの林檎畠を思い浮かべながら詩作を行ったのかもしれません。4つの連では、第一連は少年と少女の出会い、第二連は恋の芽生え、第三連は恋の成就、第四連はその後の二人についてが描かれていますが、林檎の白い花が咲き、林檎の実が実り、そして赤く色づいていく生長の過程とこの初恋が成就するさまが重なり、私たちを瑞々しい二人の世界に連れていってくれます。
また、この「初恋」では、さまざまな作曲家が藤村の詩の世界にメロディを付けて楽曲として発表されているようです。1971年(昭和46年)に発表された舟木一夫の「初恋:若松甲 作曲」は、映画化されたこともあり、大ヒットしました。少しお恥ずかしいのですが、この楽曲は私のカラオケのレパートリーでもあり、ステイホームの中、よく口ずさんでおります。この原稿を書いている際、YouTubeをググってみたところ、新しいメロディによる「初恋」がいくつか見受けられ、時代が変わっても藤村の「初恋」には新しい命が宿り、歌い継がれていることに驚かされました。
今回、ステイホームの中で変わらないことや変わらないものがあることを改めて知ることができた今日この頃です。

林檎畠の樹(こ)の下に おのづからなる細道は 誰(た)が踏みそめしかたみぞと (第四連)薄紅(うすくれない)色の二つのリンゴ、成就する二人の恋を願って実ります.
(写真提供:田中京子さん、福島市のとある農家にて.2020.9.12)
形態マガジン号キャプテン 阿南 建一

今回の細胞編は、骨髄像における鑑別細胞を出題しました。
骨髄で意外と見逃されやすいのが非造血細胞です。造血細胞と鑑別する意味からも区分のポイントをしっかり掴みましょう。
症例編は、僅かな検査所見を参考にして、骨髄の正常構築から逸脱した形態所見を理解して形態診断を行って下さい。また、形態診断に不可欠な検査所見や鑑別疾患についても同様に考えてみて下さい。
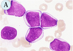
問題1
BM-MG.1000

BM-MG.1000

BM-MG.1000

BM-MG.1000

この症例の形態所見から考えられる疾患は何でしょうか。また、鑑別する疾患とそのポイントも考えて下さい。
【1~5歳】 発熱・両側頸部腫脹・肺炎(+)
WBC17.1万/μL、RBC245万/μL、Hb7.1g/dL、Ht20.5%、PLT14.8万/μL、BM-NCC19.2万/μL
PB-MG.1000

BM-MG.1000

BM-PO/SBB.1000

sputum-MG.1000

問題 1
今回は、骨髄像における類似細胞と非造血細胞を提示しました。非造血細胞は、数が少ないため素通りされやく、なかには造血細胞と鑑別を要するものがありますので気をつけましょう。
【正答】
A-1.桿状核球 2.後骨髄球 3.桿状核球 4.分葉核球、B.赤芽球島、C-1.組織好酸球 2.分葉核球 3.単球、
D-1.幼若好酸球 2.細網細胞
【解説】

A-1.細胞径14µm大、核は棒状で、クロマチン網工は粗大粗荒、核幅の短径が長径の1/3未満の長さ(小宮法.1988)と細胞質が淡橙黄色から桿状核球と思われます。2.は1.に類似していますが、核幅の短径が長径の1/3以上の長さ(核幅が広い)から後骨髄球と思われます。3.細胞径13µm大、核は湾曲しクロマチン網工は結節状、核幅の短径が長径の1/3未満の長さから典型的な桿状核球と思われます。4.細胞径13µm大、核はくびれて、クロマチン網工は結節状、核の最小幅は狭小化にあることから分葉核球と思われます。

B.中央の細胞は大型で、細胞質は不鮮明、周囲を取り囲むように成熟赤芽球がみられます。核は類円形、クロマチン網工は繊細でスポンジ様(青矢印)、その右には白血球を貪食消化した像(赤〇印)がみられ、マクロファージが考えられます。この現象は、マクロファージが貪食した鉄顆粒をHb合成の旺盛な多染性赤芽球が補給している赤芽球島と思われます。この現象は“親鳥がヒナを育てて巣立ちさせる”と言われ、形態にロマンを感じる1シーンでもあります。

C-1.細胞径25µ大、大型で円形核は偏在しクロマチン網工は繊細、細胞質は不規則性で橙紅色の粗大顆粒を認めます。形状から幼若好酸球を思わせますが、大型過ぎることや核質の繊細から組織好酸球を考えました。2.3.は周囲に押された感があり委縮気味です。2.細胞径12µm大、形状から分葉核球でよいと思います。3.細胞径14µm大、核は桿状核で、クロマチン網工はやや繊細、細胞質は灰青色で僅かに空胞を認めることから単球と思われます。

D-1.細胞径16µ大、類円形核は偏在し、クロマチン網工は粗荒、細胞質には橙紅色の粗大顆粒を認めます。血液細胞として形状から幼若好酸球と思われます(C-1.との比較)。2.細胞径18µm大、円形核のクロマチン網工は繊細でスポンジ様、好塩基性の細胞質は不明瞭から非造血細胞を考え細網細胞と思われます。
問題 2
乳児、発熱、両側頸部腫脹、肺炎像を認め、貧血、白血球数の著増から骨髄穿刺が施行されました。
【解説】
(PB-MG.1000)
(BM-MG.1000)
(BM-PO/SBB.1000)
(sputum-MG.1000)
A.[PB-MG.1000] 白血球数著増(17.1万/µL)の血液像では芽球を95%認めました。
B.[BM-MG.1000] 骨髄は正形成、芽球は96%で大半は顆粒をもたず、ごく一部にアウエル小体を認めました。
C.[BM-PO/SBB.1000] 芽球はPO染色に9%の陽性(左)、SBB*染色に20%の陽性を認めました(右)。
D.[sputum-MG.1000] 芽球は喀痰にも出現し、アウエル小体を認め、また髄液にも出現していました。
【臨床診断】
末梢血および骨髄に芽球の増加がみられ、骨髄では90%以上を占め、それらはPO染色、SBB染色が3%以上の陽性、また骨髄系マーカー陽性から急性骨髄性白血病(AML-M1)と診断されました。尚、肺炎所見から喀痰検査が行われ、芽球の出現を認め、白血病肺浸潤と診断されました。また、髄液検査でも芽球を認め、中枢神経浸潤も考えられました。本例は、以前の症例で喀痰に芽球を認めたのは初めての経験でした。予後については、髄外浸潤など臨床的にも重症であり予後不良の症例でした。
AMLの肺浸潤については、喀痰で診断したBardales RH(1996)らの2例に過ぎず、わが国では最近、病理解剖と合わせ組織学的に検討された尾崎正英先生らの報告(臨床血液.2020)があります。
また、*SBB(ズダンブラックB)染色は若い技師の皆さんにとって聞きなれないと思われますが、FAB分類が提唱された頃(1976)、AMLの芽球判定にPO染色と共に使用されていました。しかし、全般にSBB染色の方が高値を呈することが判明し、現在ではAMLの判定にはPO染色が使用されるようになりました。ちなみにSBB染色はリン脂質を染め、PO染色は酵素を染めます。本例もPO染色の陽性は9%に対し、SBB染色は20%でした。AMLの判定にはPO染色の陽性が、3%で区分されますので納得がいくと思われます。
© 2020 ベックマン・コールター株式会社
MAPSS-DX-202010-014
これから先のページでは、医療関係者の方々を対象に医療機器・体外診断薬等の製品に関する情報を提供しております。当社製品を適正に使用していただくことを目的としており、一部の情報では専門的な用語を使用しております。
一般の方への情報提供を目的としたものではありませんので、ご了承ください。
医療関係者の方は、次のページへお進みください。
(お手数ですが、「進む」ボタンのクリックをお願いします)