今年の夏は記録的な猛暑となり、せめて気持ちだけでも涼しくなれるようにと、日本の風物詩「風鈴」について調べてみました。
風鈴は金属や陶器製以外にも、ガラス製の“津軽びいどろ”が有名です。風鈴といえば、暑い地方のイメージですが、東北地方でも作られているとは意外でした。「びいどろ(ビードロ)」はポルトガル語の「vidro(ヴィードロ)」が語源です。日本では1670年、鎖国時代(江戸時代前期)に唯一海外に開かれていたポルトガルやオランダからガラス製造の技術が伝来し、中国の技法をもとに吹きガラスの技法を用いて、長崎県の「長崎ビードロ」が発祥とされています。宙吹き技法で作られたガラス製品を指し、日本人の美意識に合ったガラス製品が作られ、“長崎チロリ”(冷酒用酒器)や大浦天主堂のステンドグラスは代表的な作品です。九州ではほかに博多の秋祭り「放生会(ほうじょうや)」で売られる“博多ちゃんぽん”(音の鳴る玩具)、“肥前びいどろ”、沖縄県の「琉球ガラス」も有名です。
遠く青森県津軽地方でも、明治時代に漁業用のガラス玉製造が盛んとなり、北洋硝子が浮球製法で培った「宙吹き」の技法を活かし、食器や花器を製造するようになり、1977年に「津軽びいどろ」として誕生しました。青森の四季折々をモチーフにした色使いや、熟練の職人による手仕事による温かみが魅力で、グラス、花瓶、風鈴など、さまざまな製品が作られ、玩具としての“ポッペン”が人気です。
気になりましたので「津軽びいどろ風鈴」を取り寄せ、早速、紅葉の木に吊るし、音色を楽しんでおります。
ガラスならではの繊細な音色“チリンチリン”が魅力で、ぽってりと厚みのあるガラスが、柔らかく澄んだ響きをたてそっと癒してくれます。風鈴はα波を誘発しリラックス効果をもたらすといわれますので、続く猛暑を乗り越えようと思います。


2025年7月号の問題. 下記のご質問をいただきましたがどのようにお答えしますか。
| 【Q1】 | Q1.8;21転座のAML(M2)の場合、顆粒球系細胞の形態異常を詳しく教えてください。また、8:21転座はM2の他にみられますか。 | |
| 【助言1】 | 本型は他のAMLに比し、RUNX1::RUNX1T1融合遺伝子を伴い顆粒球系の分化傾向が強く、形態異常を呈することが特徴です。芽球は顆粒を有する芽球(TypeⅡ)が多く、それに伴い多様性のアウエル小体(長い・短い・松葉状)を認めます。骨髄球の細胞質には好塩基性の縁取りを認めることから分化度の強さがうかがえます。また好中球には低顆粒や偽ペルゲル核異常を認めます。本型は芽球の比率がAML基準の20%を越えないことがありますが、WHO分類では、遺伝子異常で定義されるAMLとして分類されます。 | |
| 【Q2】 | リンパ形質細胞性リンパ腫と原発性マクログロブン血症の鑑別がつきません。また、マクログロブリン血症はどの位の頻度でみられますか。 | |
| 【助言2】 | リンパ形質細胞性リンパ腫(lymphoplasmacytic lymphoma:LPL)は、低悪性度B細胞リンパ腫の一型で、小型B細胞リンパ球、形質細胞への分化傾向にあるリンパ球、形質細胞が混在したリンパ系腫瘍と定義されます。ワルデンシュトレームマクログロブリン血症(Waldenström’s macroglobulinemia:WM)は、骨髄浸潤とIgM型M蛋白血症を伴うLPLのサブセットとして定義され、LPLの90〜95%を占めるとされます*。IgM型M蛋白血症を伴うB細胞リンパ腫はLPL以外(例えば、IgGやIgAタイプ)にも低頻度ながら認められるため、診断上、注意が必要になります。 (*造血器腫瘍診療ガイドライン.2024) |
|

2025年8月号の問題. 下記のご質問をいただきましたがどのようにお答えしますか。
| 【Q1】 | 神経芽腫など腫瘍細胞が孤発性に出現した場合、芽球との鑑別方法はありますか。 |
|
| 【Q2】 | 細胞分類で、前骨髄球か骨髄球かを鑑別するのに悩むことがあります。同様に、前赤芽球か好塩基性赤芽球か悩むこともあります。鑑別をどのようにしたらよいか教えてください。 |
|

形態マガジン号キャプテン 阿南 建一

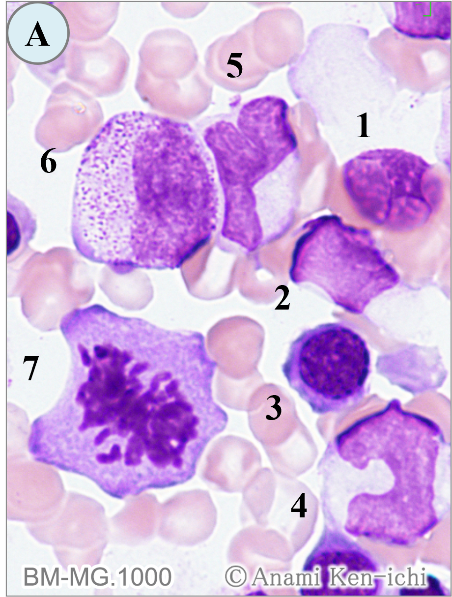
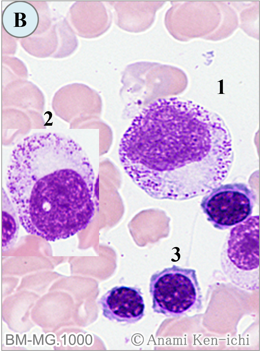
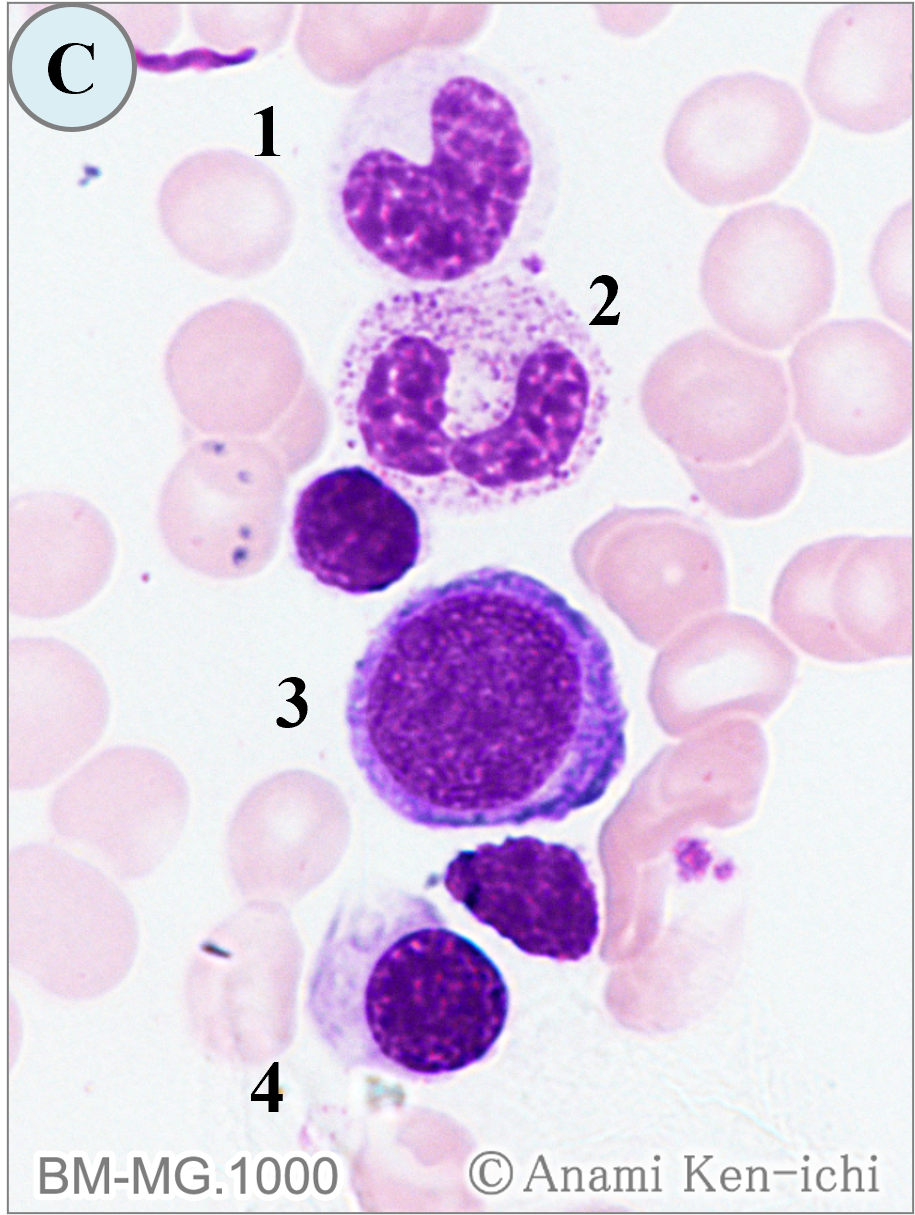
「細胞同定」については、骨髄像の鑑別細胞を提示しました。画像は高倍率(1,000倍)で提示しています。細胞の大きさは赤血球の大きさを対照にしてください。
「ワンポイントアドバイス」は、8:21転座AMLの形態像、リンパ形質細胞性リンパ腫と原発性マクログロブリン血症の鑑別について解説します。
問題1

BM-MG.1000


問題
骨髄像の細胞同定を行ってください。
【解説】

A-1. 直径25μm大、大型で細胞質は豊富で、核は偏在しクロマチンは細網状ながらも一部凝集を認め細網細胞にしました。
A-2. 直径11μm大、N/C比は高く、核は類円形でクロマチンは粗剛、細胞質は淡青色のようでリンパ球にしました。
A-3. 直径10μm大、N/C比は高く、核は円形でクロマチンは凝集状、細胞質は青紫色のことから多染性赤芽球にしました。
A-4. 直径12μm大、核は桿状で湾曲し、クロマチンは繊細で細胞質は淡青色です。桿状核球にみえますが、クロマチンの繊細さから単球にしました。
A-5. 直径14μm大、核は不整で12時方向には切れ込みがみられ、クロマチンが繊細のことから単球にしました。
A-6. 直径20μm大、核は類円形で偏在し、クロマチンは粗剛傾向で核小体は不明、細胞質は一部に青色を認め、顆粒は一次顆粒とみなし前骨髄球にしました。
A-7. 直径17μm大、大型で細胞質は青色で顆粒をもたないことから前赤芽球を考え、有糸分裂で染色体が赤道面に集合した分裂中期の前赤芽球(分裂像)にしました。

B-1. 直径16μm大、核は類円形で偏在しクロマチンはやや粗剛、細胞質は青味が弱くゴルジ体を有し顆粒は太く一次顆粒とみなし前骨髄球にしました。
B-2. 直径14μm大、B-1.と類似していますが、核は円形で小さくなりクロマチンが粗剛であることから骨髄球(未熟型)にしました。
B-3. 直径7μm大、N/C比は高く、核は円形でクロマチンは凝集状、細胞質は青紫色であることから多染性赤芽球にしました。

C-1. 直径13μm大、核は桿状でクロマチンが結節状のことから桿状核球にしました。
C-2. 直径13μm大、核は分葉傾向でクロマチンは結節状、細胞質の細顆粒は二次顆粒とみなし分葉核球にしました。
C-3. 直径15μm大、N/C比は高く、核は円形でクロマチンは粗顆粒状、細胞質は青色が強く明庭を認めることから好塩基基性赤芽球にしました。
C-4. 直径11μm大、核は円形で偏在しクロマチンは凝集状、細胞質は淡い青紫色のことから多染性赤芽球にしました。
これから先のページでは、医療関係者の方々を対象に医療機器・体外診断薬等の製品に関する情報を提供しております。当社製品を適正に使用していただくことを目的としており、一部の情報では専門的な用語を使用しております。
一般の方への情報提供を目的としたものではありませんので、ご了承ください。
医療関係者の方は、次のページへお進みください。
(お手数ですが、「進む」ボタンのクリックをお願いします)