前 略
おせち料理や煮付けなどレンコンのレシピは数多いですが、皆さん、レンコンの穴っていくつあるか知っていますか?
輪切りにしたものをよく観ると、中央に2つの小さな穴、その周囲には9つ位の穴がみられるようです。その穴は空気を根や葉に運ぶパイプの役目があるそうです。約200年前(江戸中期)岩国藩士によって持ち込まれ、岩国で栽培されたことが最初で、藩主吉川家の家紋(九曜紋)と似ており藩主を喜ばせたと聞いたことがあります。レンコンの効能って何?。レンコンはビタミンCが豊富で、粘り成分のムチンは胃壁を保護し胃腸を手助けし、アクのポリフエノール類には消炎止血作用があるそうです。
ムチンについては、粘液をスライドガラスに塗布しPAS染色をやってみて証明してみては如何でしょうか。
最近、某テレビ番組でレンコン(ポリフェノール類)が“アレルギー症状”に抑制作用をもつことが紹介され、経験談から気管支喘息が治ったことが紹介されていました。
また、マウスの実験からレンコンを食べ続けたマウスは、アレルギー症状の原因の1つヒスタミンの放出を軽減し、IgE抗体を減らすことが実証され、その後レンコンで作製された錠剤を花粉症患者に3ヵ月間投与すると約60%に症状の改善がみられたそうです。
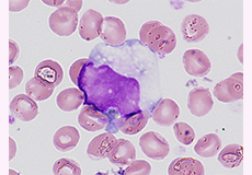
ところで、この形状って、骨髄の赤芽球島にみえませんか? 中央には2つ穴(好中球、赤芽球、血小板など)を貪食したマクロファージが存在し、9つ穴(成熟赤芽球たち)がそれを取り囲んだ状態です。鉄顆粒を貪食したマクロファージから赤芽球が鉄顆粒を供給しているとか、マクロファージが赤芽球の脱核を手助けをしているとか、親鳥がひなを育てて巣立ちをさせているシーンとか、いわゆる“形態にロマン”を感じさせる1シーンです。
さて皆さん、今一度、レンコンの神秘の穴を観察しながら改めてレンコンに感謝してみませんか。
草々
形態マガジン号キャプテン 阿南 建一 

レンコン

細胞
細胞の同定については、末梢血の類似細胞を提示しました。
細胞の大きさ、N/C比、核形不整、核網工、核小体、細胞質の所見などを中心に挑戦して下さい。
症例については、骨髄のMG染色から予測されるPO染色の所見に挑戦します。
MG染色における形態学的特徴から、PO染色の陽性態度を考え診断に結びつけましょう。
CASE A~Dにおける末梢血液像の細胞同定をリストより選択してください。
PB-MG×1000

PB-MG×1000

PB-MG×1000

PB-MG×1000

骨髄像のMG染色から予測されるPO染色所見と考えられる病型をリストより選択してください。(芽球20%以上、顆粒球系・単球系20%以上)
CASE A:BM-MG×1000

所見A:BM-PO×1000

所見B:BM-PO×1000







(CASE A) ⑤.単球
(CASE B) ②.異型リンパ球
(CASE C) ⑤.単球
(CASE D) ②.芽球
提示細胞は、いずれも細胞径がほぼ20μmでN/C比の低い(核の占める割合が80%以下)の類似細胞です。さて核および細胞質から攻めてみましょう!
(CASE A)
このなかでの類似細胞はCASE-Bです。Bに比べると、核の占める割合は低く(成熟傾向のため)、核形不整は軽度で核網工はやや繊細のようです。細胞質は僅かに好塩基性で空胞がみられます。
核質はリンパ球様ですが全体像より単球と同定しました。
(CASE B)
CASE-Aに比べると、核の占める割合はやや高く、核形不整は軽度で核網工はやや粗剛のようです。細胞質の好塩基性は青色を呈しています。軽度の核形不整は単球様ですが全体像より異型リンパ球と同定しました。
(CASE C)
CASE-Aと同系細胞と思われ単球と同定しました。
(CASE D)
N/C比は低いのですが、核は大きいようで幼若型を思わせます。ほぼ円形核に繊細な核網工そして明瞭な核小体を数個認めます。細胞質の好塩基性の色調は青紫色で辺縁部に突起物を認めるようです。CASE-Bの異型リンパ球を思わせますが、核質、明瞭な核小体の所見より芽球と同定しました。核の所見と細胞質の青紫色の色調はリンパ球に合致しないので、突起物を加味し単芽球と同定しました。本例はAML-M5aの症例ですが、通常末梢血に出現することは少ないようです。



(PO染色所見)②.Bが予想される
(考えられる病型)③.M4
【解説】
骨髄のMG染色では芽球(1)、前骨髄球(2)、単球(3)がみられます。中央の芽球の11時方向にはアウエル小体らしきものがみられるようです。設問には芽球が20%以上そして顆粒球系および単球系の各々が20%以上と記されていますので急性骨髄単球性白血病(AML-M4)を疑うことになります。
次にPO染色ですが、A. はほとんどの芽球に陽性を呈しており、B.は顆粒球系が陽性、単球系に陰性を呈しています。A.は芽球が90%以上みられたことよりAML-M1になった例です。
B.は分化傾向を認めるなか顆粒球系と単球系の混在を予想することができます。
次のステップとして、EST二重染色を行い両者の混在を証明することになります。
これから先のページでは、医療関係者の方々を対象に医療機器・体外診断薬等の製品に関する情報を提供しております。当社製品を適正に使用していただくことを目的としており、一部の情報では専門的な用語を使用しております。
一般の方への情報提供を目的としたものではありませんので、ご了承ください。
医療関係者の方は、次のページへお進みください。
(お手数ですが、「進む」ボタンのクリックをお願いします)